Latest Updates
-
മീനത്തില് ഭാഗ്യം തെളിയുന്നവര്: ഇനി അടുത്ത 30 നാള് ഈ നക്ഷത്രക്കാര്ക്കുള്ളത്, ധനവും, കരിയറും സുരക്ഷിതം -
ഭക്ഷണത്തില് ഉപ്പ് കൂടുതലോ? അറിയണം കിഡ്നിയെ ബാധിക്കുന്നതെങ്ങനെയെന്ന് -
30 വര്ഷത്തിനിപ്പുറം ശനിയും ചൊവ്വയും ചേരുന്നു: ശത്രു മുട്ടുമടക്കും, ധനം നിറഞ്ഞ് കുമിയും, ഭാഗ്യം ഏത് കോണിലും -
തടി കുറയ്ക്കാന് രാവിലെ ഈ ശീലങ്ങള് മാത്രം മതി: മറക്കാതെ ചെയ്യണം ഇതെല്ലാം -
കരള് എന്നെന്നും സുരക്ഷിതമായിരിക്കുന്നതിനും വിഷമുക്തമാക്കുന്നതിനും കഴിക്കണം ഈ ഭക്ഷണങ്ങള് -
മീനം 1 പുലരുന്നത് തന്നെ രാജയോഗത്തോടെ: അശ്വതി - രേവതി വരെ 27 നാളിനും മീനമാസം സമ്പൂര്ണ നാള്ഫലം -
5 ദിനങ്ങള്ക്കുള്ളില് സൂര്യനെത്തുന്നു മീനത്തില്: പക്ഷേ ഈ രാശിക്കാര് അല്പം കരുതിയിരിക്കണം, നിര്ണായകം -
Rashiphalam: ഇന്ന് ഭാഗ്യയോഗങ്ങളില് മാറ്റങ്ങള് തേടി എത്തുന്ന രാശിക്കാര്: സമ്പൂര്ണഫലം ഇപ്രകാരം -
വ്യാഴം മിഥുനത്തില് നേര്ഗതിയില്: ഈ രാശിക്കാര് മാര്ച്ച് 11 മുതല് കരുതിയിരിക്കണം -
സ്ഥിരമായി ബീറ്റ്റൂട്ട് ജ്യൂസ് കുടിക്കുന്നോ? എങ്കില് ഇക്കാര്യങ്ങള് പരിഗണിക്കണം
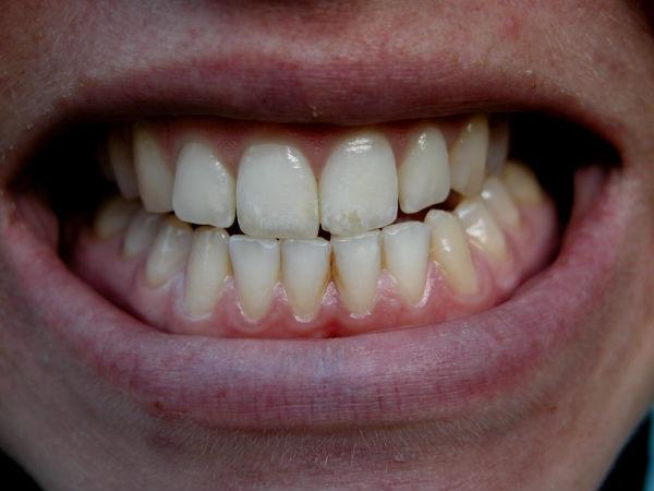
പല്ലിന്റെ സെന്സിറ്റിവിറ്റിക്ക് കാരണം
നല്ല തണുത്ത ഐസ്ക്രീം കഴിക്കുമ്പോഴും ചൂടുള്ള കട്ടന് കാപ്പി കുടിക്കുമ്പോഴും ഒക്കെ പല്ലിന് വേദന അനുഭവപ്പെടാറുണ്ടോ?
ഉത്തരം അതെ എന്നാണെങ്കില് നിങ്ങളുടെ പല്ലിന് സെന്സിറ്റിവിറ്റി അനുഭവപ്പെടന്നു എന്നാണ് അര്ത്ഥം.
പല്ലിന് ഇത്തരത്തിലുള്ള കഠിനമായ വേദനയും പുളിപ്പും അനുഭവിച്ചിട്ടുള്ളവര് സമ്മതിക്കും ഈ അവസ്ഥ വിവരിക്കാന് ഇത്രയും ലോലമായ വാക്ക് പോര എന്ന്.
ലോകത്തിലെ 70 ശതമാനത്തോളം ആളുകളെയും ബാധിക്കുന്ന ഒരു ദന്ത പ്രശ്നം ആണ് സെന്സിറ്റിവിറ്റി. നല്ല തണുപ്പ്, ചൂട്, മധുരം, പുളിപ്പ് എന്നിവ ഉള്ള ഭക്ഷണങ്ങള് കഴിക്കുമ്പോള് പല്ലിന് വളരെ പെട്ടെന്ന് അനുഭവപ്പെടുന്ന വേദനയാണിത്. ഇത് രൂക്ഷമായാല് തണുത്ത വെള്ളം കുടിച്ചാല് പോലും ഇതേ അനുഭവം ഉണ്ടായി എന്നു വരാം.
പല്ലുകളുടെ സെന്സിറ്റിവിറ്റിയിലേക്ക് നയിക്കുന്ന കാരണങ്ങള്. വ്യത്യസ്തങ്ങളായ വാര്ത്തകള്ക്ക് ഞങ്ങളുടെ ഗൂഗിള് പ്ലസ് പേജ് ഫോളോ ചെയ്യൂ
സെന്സിറ്റിവിറ്റി അനുഭവപ്പെടാനുള്ള പ്രധാന കാരണം പല്ലുകളുടെ പുറമെയുള്ള കട്ടിയുള്ള ആവരണമായ ഇനമാലിന് തേയ്മാനം സംഭവിച്ച് അകത്തുള്ള മൃദുല ഭാഗമായ ദന്തമജ്ജ പുറത്തേക്ക് പ്രകടമാകുന്നതാണ്. പല്ലിന്റെ സംവേദന നാഡികള് ഈ ദന്തമജ്ജയിലാണ് അടങ്ങിയിരിക്കുന്നത്. ഈ ഭാഗം പുറത്തേക്ക് കാണപ്പെടുമ്പോള് ചൂട്, തണുപ്പ്, മധുരം, പുളിപ്പ് എന്നിവയെല്ലാം ഇരട്ടിയായി അനുഭവപ്പെടുകയും പെട്ടന്നുള്ള വേദനയായി മാറുകയും ചെയ്യും.വെളുത്ത പല്ലുകള്ക്ക് വീട്ടുവൈദ്യങ്ങള്

മോണ പിന്വലിയുക
പ്രായം കൂടുന്നതിനനുസരിച്ചും പല്ല് തേയ്ക്കുന്ന രീതി ശരിയല്ലാത്തുതു കൊണ്ടും ശക്തിയായി പല്ല് തോയ്ക്കുന്നത് മൂലവും മോണ പിന്വലിയാം. മോണ പിന്വലിഞ്ഞാല് ദന്തിനവും പല്ലുകളുടെ വേരും അനാവൃതമാവുകയും ചൂട്, തണുപ്പ്, മധുരം, പുളിപ്പ് എന്നിവ ഏല്ക്കുമ്പോള് വേദന അനുഭവപ്പെടുകയും ചെയ്യും.

മോണപഴുപ്പ്
മോണപഴുപ്പ് പോലുള്ള മോണരോഗങ്ങള് പല്ലുകളെ യഥാസ്ഥാനത്ത് ഉറപ്പിച്ച് നിര്ത്തുന്ന മോണയെ ദുര്ബലമാക്കും. ഇത് വഷളാകുന്നതോടെ പല്ലിന് ചുറ്റുമുള്ള മോണയില് പഴുപ്പുണ്ടാവുകയും ചെയ്യും. ഇത് പല്ലിന്റെ താഴെയുള്ള വേരുകളും ഞരമ്പുകളും നശിക്കാന് കാരണമാകുകയും ഉയര്ന്ന സെന്സിറ്റിവിറ്റി അനുഭവപ്പെടുകയും ചെയ്യും.

പൊട്ടിയ പല്ല്
പല്ലിന്റെ ഉപരിതലത്തില് ഉണ്ടാകുന്ന ഏത് തരം പൊട്ടലുകളും വായിലെ ബാക്ടീരിയകളെ പല്ലുകളുടെ വേരുകളിലേക്ക് എത്തിക്കുകയും അണുബാധയ്ക്ക് കാരണമായി തീരുകയും ചെയ്യും. ശരിയായ ചിക്തിസ നടത്തിയില്ലെങ്കില് പിന്നീട് ഇത് വലിയ പ്രശ്നമാവുകയും ഒരു പല്ലിനോ അല്ലെങ്കില് മുഴുവന് പല്ലുകള്ക്കോ ഉയര്ന്ന സെന്സിറ്റിവിറ്റി അനുഭവപ്പെടുന്നതിന് കാരണമാവുകയും ചെയ്യും.

അനാരോഗ്യകരമായ ഭക്ഷണ ശീലം
മറ്റെന്തിനേക്കാളും നിങ്ങളുടെ പല്ലുകളെ ആദ്യം ബാധിക്കുന്നത് നിങ്ങള് കഴിക്കുന്ന ആഹാരമാണ്. ചോക്ലേറ്റ്, മിഠായികള്, ഐസ് ക്രീം പോലെ അധികം മധുരമുള്ളതും ഒട്ടിപിടിക്കുന്നതുമായ ആഹാരങ്ങള്, അച്ചാര്, സ്ട്രോബെറി പോലെ അമ്ലഗുണം കൂടി ഭക്ഷണങ്ങള് കോള പോലുള്ള കാര്ബൊണേറ്റഡ് പാനീയങ്ങള് , തണുപ്പും ചൂടും കൂടി ആഹാരങ്ങള് എന്നിവ പല്ലിന്റെ ഇനാമലിന് തേയ്മാനം വരുത്തുകയും കുറച്ച് നാള് കഴിയുമ്പോള് പല്ലുകള്ക്ക് സെന്സിറ്റിവിറ്റി ഉണ്ടാക്കുകയും ചെയ്യും.

പല്ലുകടി
അറിഞ്ഞും അറിയാതെയും ഉറക്കത്തിലും മറ്റും പല്ലുകള് കൂട്ടികടിക്കുന്ന അവസ്ഥയാണ് ബ്രൂക്സിസം. ഇങ്ങനെ പല്ലുകള് കൂട്ടികടിക്കുന്നത് ഇനാമല് പോകാന് ഇടയാക്കും. കുറച്ച് നാള് കഴിയുമ്പോള് സെന്സിറ്റിവിറ്റി അനുഭവപ്പെടാന് ഇത് കാരണമായി തീരും.

ദന്ത ചികിത്സകള്
പ്ലാക് നീക്കം ചെയ്യുക, പല്ല് അടയ്ക്കുക, പല്ലിന് ആവരണം ഇടുക പോലുള്ള ചില ദന്തചികിത്സ പ്രക്രിയകളും കുറച്ച് ദിവസം കഴിയുമ്പോള് സെന്സിറ്റിവിറ്റി അനുഭവപ്പെടാന് കാരണമാകും. ഇത്തരത്തില് അനുഭവപ്പെടുന്ന സെന്സിറ്റിവിറ്റി മരുന്നുകള് ഒന്നും ഉപയോഗിക്കാതെ തന്നെ ഏതാനം ദിവസം കഴിയുമ്പോള് മാറുകയും പതിവാണ്.

കട്ടി കൂടിയ ബ്രഷ്
ടൂത്ത് പോസ്റ്റോടെയോ അല്ലാതെയോ വളരെ കട്ടി കൂടിയ ടൂത്ത് ബ്രഷ് ഉപയോഗിക്കുന്നത് സാന്ഡ് പേപ്പര് തടിയില് ഉരസുന്നത് പോലെയുള്ള ഫലമാണ് ഉണ്ടാക്കുക. പല്ലിന്റെ ഉപരിതലത്തിലെ ഇനാമലിന് തേയ്മാനം സംഭവിക്കുന്നതും നഷ്ടപ്പെടുന്നതും സെന്സിറ്റിവിറ്റിയ്ക്കുള്ള സാധ്യത ഉയര്ത്തും.

മൗത്ത് വാഷ്
മൗത്ത് വാഷുകള് വായുടെ ഗന്ധം അകറ്റാന് സഹായക്കും . എന്നാല് ഇവയുടെ അമ്ലഗുണം പല്ലുകളുടെ ഇനാമലിന് തേയ്മാനം ഉണ്ടാകാന് കാരണമാകുകയും പല്ലുകളെ ദുര്ബലമാക്കി സെന്സിറ്റിവിറ്റിക്കുള്ള സാധ്യത ഉയര്കത്തുകയും ചെയ്യും.

പല്ല് വെളുപ്പിക്കാനുള്ള ചികിത്സ
തിളങ്ങുന്ന വെളുത്ത പല്ലുകളാണ് എല്ലാവര്ക്കും ഇഷ്ടം. അതിന് വേണ്ടി നമ്മള് പലപ്പോഴും ചിലവേറിയ ചികിത്സ നടത്താറുണ്ട്. ഇത് നിങ്ങളുടെ ചിരിക്ക് തിളക്കം നല്കുമെങ്കിലും ഇനാമലിന് നാശമുണ്ടാക്കുമെന്നതിനാല് പിന്നീട് കണ്ണുനീര് പൊഴിക്കേണ്ടി വന്നേക്കും. പല്ല് വെളുപ്പിക്കാനുള്ള ചികിത്സ നടത്തുകയാണെങ്കില് ഡോക്ടറെ കണ്ട് പല്ലിന്റെ ഇനാമലിന് നാശം സംഭവിച്ചിട്ടുണ്ടോ എന്ന് പരിശോധിപ്പിക്കുക.

അസാധാരണമായ രോഗാവസ്ഥ
അമിത വിശപ്പ്, ജിഇആര്ഡി പോലുള്ള രോഗാവസ്ഥകളില് വായ്ക്കുള്ളിലെ ആസിഡിന്റെ അളവ് ഉയര്ന്നിരിക്കും . ഇത് പല്ലുകളുടെ ഇനാമല് നഷ്ടപ്പെടുത്തുകയും ദന്തിനം കൂടുതല് സെന്സിറ്റീവ് ആകാന് കാരണമാവുകയും ചെയ്യും. വ്യത്യസ്തങ്ങളായ വാര്ത്തകള്ക്ക് ഞങ്ങളുടെ ഗൂഗിള് പ്ലസ് പേജ് ഫോളോ ചെയ്യൂ



Click it and Unblock the Notifications











