Latest Updates
-
Rashiphalam: ഇന്ന് തെളിയുന്ന ഭാഗ്യ രാശിക്കാര്, നിങ്ങളുടെ ഇന്നത്തെ സമ്പൂര്ണഫലം ഇതാണ് -
മീനത്തില് ഭാഗ്യം തെളിയുന്നവര്: ഇനി അടുത്ത 30 നാള് ഈ നക്ഷത്രക്കാര്ക്കുള്ളത്, ധനവും, കരിയറും സുരക്ഷിതം -
ഭക്ഷണത്തില് ഉപ്പ് കൂടുതലോ? അറിയണം കിഡ്നിയെ ബാധിക്കുന്നതെങ്ങനെയെന്ന് -
30 വര്ഷത്തിനിപ്പുറം ശനിയും ചൊവ്വയും ചേരുന്നു: ശത്രു മുട്ടുമടക്കും, ധനം നിറഞ്ഞ് കുമിയും, ഭാഗ്യം ഏത് കോണിലും -
തടി കുറയ്ക്കാന് രാവിലെ ഈ ശീലങ്ങള് മാത്രം മതി: മറക്കാതെ ചെയ്യണം ഇതെല്ലാം -
കരള് എന്നെന്നും സുരക്ഷിതമായിരിക്കുന്നതിനും വിഷമുക്തമാക്കുന്നതിനും കഴിക്കണം ഈ ഭക്ഷണങ്ങള് -
മീനം 1 പുലരുന്നത് തന്നെ രാജയോഗത്തോടെ: അശ്വതി - രേവതി വരെ 27 നാളിനും മീനമാസം സമ്പൂര്ണ നാള്ഫലം -
5 ദിനങ്ങള്ക്കുള്ളില് സൂര്യനെത്തുന്നു മീനത്തില്: പക്ഷേ ഈ രാശിക്കാര് അല്പം കരുതിയിരിക്കണം, നിര്ണായകം -
Rashiphalam: ഇന്ന് ഭാഗ്യയോഗങ്ങളില് മാറ്റങ്ങള് തേടി എത്തുന്ന രാശിക്കാര്: സമ്പൂര്ണഫലം ഇപ്രകാരം -
വ്യാഴം മിഥുനത്തില് നേര്ഗതിയില്: ഈ രാശിക്കാര് മാര്ച്ച് 11 മുതല് കരുതിയിരിക്കണം
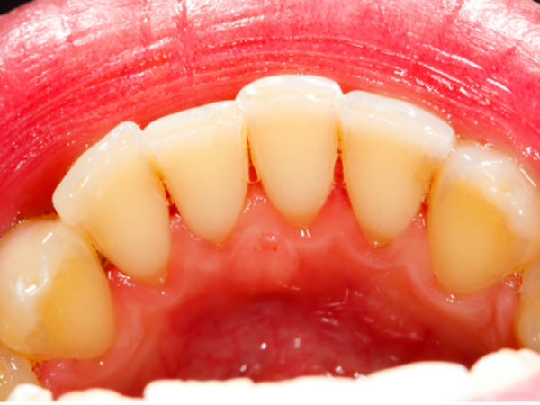
പുകവലി പല്ലില് കറ ഉണ്ടാക്കുന്നുവോ?
പുകവലി ആരോഗ്യത്തിന് ഹാനീകരം എന്ന് ഓരോ സിഗരറ്റ് വലിയ്ക്കുമ്പോഴും ഓര്ക്കുന്നവരാണ് നമ്മളില് പലരും. എന്നാല് ഇത് ദോഷകരമാണെന്നറിഞ്ഞാലും ഈ ശീലത്തില് നിന്നും പുറത്ത് ചാടാന് പലപ്പോഴും പലര്ക്കും കഴിയണമെന്നില്ല. നമ്മുടെ ആരോഗ്യം മാത്രമല്ല സമൂഹത്തിന്റെ ആരോഗ്യവും പ്രശ്നത്തിലാക്കുന്നതാണ് പുകവലി. ഏത് മുഖക്കുരുവിനേയും മാറ്റാന് പഴത്തോല്
പുകവലിയോളം തന്നെ ഗുരുതരമാണ് പുകവലിയ്ക്കുന്നവരുടെ കൂടെയുള്ള സഹവാസവും. ഇത് ഗുരുതരമായ പല രോഗങ്ങള്ക്കും വാതില് തുറക്കും എന്ന കാര്യത്തില് സംശയമില്ല. പുകവലിക്കാരെ നമുക്ക് പെട്ടെന്ന് തന്നെ കണ്ടെത്താം. അവരുടെ മുഖത്തേക്ക് നോക്കിയാല് മതി.
ചുണ്ടിലെ കറുത്ത നിറവും പല്ലിലെ കറയും ഇവരുടെ കൂടപ്പിറപ്പായിരിക്കും. പുകവലി നിര്ത്തിയാലും പലപ്പോഴും ഈ പ്രശ്നങ്ങള്ക്ക് പരിഹാരം ഉണ്ടാവില്ല. എന്നാല് ഇനി ഇത്തരം പ്രശ്നങ്ങള്ക്ക് ദിവസങ്ങള് കൊണ്ട് പരിഹാരം നേടാം എങ്ങനെയെന്ന് നോക്കാം. പുരുഷഹോര്മോണ് സ്ത്രീകളില് കൂടുതലായാല്

ആവശ്യമുള്ള സാധനങ്ങള്
ബേക്കിംഗ് സോഡ, ടൂത്ത്ബ്രഷ്, ഹൈഡ്രജന് പെറോക്സൈഡ്, ഉപ്പ്, വെള്ളം, മൗത്ത് വാഷ് എന്നിവയാണ് ആവശ്യമുള്ള സാധനങ്ങള്.

സ്റ്റെപ് 1
ഒരു സ്പൂണ് ബേക്കിംഗ് സോഡ അര ടീസ്പൂണ് ഉപ്പില് ചേര്ത്ത് ബ്രഷ് കൊണ്ട് ഈ മിശ്രിതം എടുത്ത് പല്ല് തേയ്ക്കുക. അഞ്ച് മിനിട്ടോളം ഇത് തുടരുക.

സ്റ്റെപ് 2
ഹൈഡ്രജന് പെറോക്സൈഡ് അരക്കപ്പ് തണുത്ത വെള്ളത്തില് കലര്ത്തി അതു കൊണ്ട് വായ് കഴുകുക. പല്ലിലെ കറ പ്രശ്നമാകുമ്പോള് പരിഹാരം 5മിനിട്ടില്

സ്റ്റെപ് 3
പല്ലിലെ കറ അപ്പോഴേക്കും ഇളകി വരും. ഇത് ടൂത്ത് പിക് ഉപയോഗിച്ച് എടുക്കാവുന്നതാണ്. ശ്രദ്ധിക്കേണ്ട കാര്യം മോണകളില് ടൂത്ത് പിക് കൊണ്ട് ബലം പ്രയോഗിക്കാതിരിക്കുക എന്നതാണ്.

സ്റ്റെപ് 4
എല്ലാം കഴിഞ്ഞതിനു ശേഷം മൗത്ത് വാഷ് ഉപയോഗിച്ച് വായ് കഴുകുക. ദിവസവും രണ്ട് നേരം ഇത്തരത്തില് തുടര്ന്നാല് പല്ലില് പുകവലി മൂലം ഉണ്ടാവുന്ന എല്ലാ പ്രശ്നങ്ങള്ക്കും പരിഹാരമാകും.

സ്ട്രോബെറിയും തക്കാളിയും
തക്കാളിയും സ്ട്രോബെറിയും വിറ്റാമിന് സി കൊണ്ട് സമ്പുഷ്ടമാണ്. ഇത് രണ്ടും നേരിട്ട് പല്ലില് ഉരച്ചാല് പല്ലിലെ കറയെ നീക്കം ചെയ്യാം. അഞ്ച് മിനിട്ടോളം ഇത്തരത്തില് ചെയ്യേണ്ടതാണ്.

ചീസ്
ചീസ് നമ്മുടെ നിത്യോപയോഗ ഭക്ഷണ സാധനങ്ങളില് പ്രസിദ്ധമാണ്. ഇതിലടങ്ങിയിട്ടുള്ള അമ്ലഗുണങ്ങള് പല്ലിലെ കറയെ നിഷ്പ്രയാസം ഇല്ലാതാക്കുന്നു.



Click it and Unblock the Notifications











