Latest Updates
-
Rashiphalam: ഇന്ന് തെളിയുന്ന ഭാഗ്യ രാശിക്കാര്, നിങ്ങളുടെ ഇന്നത്തെ സമ്പൂര്ണഫലം ഇതാണ് -
മീനത്തില് ഭാഗ്യം തെളിയുന്നവര്: ഇനി അടുത്ത 30 നാള് ഈ നക്ഷത്രക്കാര്ക്കുള്ളത്, ധനവും, കരിയറും സുരക്ഷിതം -
ഭക്ഷണത്തില് ഉപ്പ് കൂടുതലോ? അറിയണം കിഡ്നിയെ ബാധിക്കുന്നതെങ്ങനെയെന്ന് -
30 വര്ഷത്തിനിപ്പുറം ശനിയും ചൊവ്വയും ചേരുന്നു: ശത്രു മുട്ടുമടക്കും, ധനം നിറഞ്ഞ് കുമിയും, ഭാഗ്യം ഏത് കോണിലും -
തടി കുറയ്ക്കാന് രാവിലെ ഈ ശീലങ്ങള് മാത്രം മതി: മറക്കാതെ ചെയ്യണം ഇതെല്ലാം -
കരള് എന്നെന്നും സുരക്ഷിതമായിരിക്കുന്നതിനും വിഷമുക്തമാക്കുന്നതിനും കഴിക്കണം ഈ ഭക്ഷണങ്ങള് -
മീനം 1 പുലരുന്നത് തന്നെ രാജയോഗത്തോടെ: അശ്വതി - രേവതി വരെ 27 നാളിനും മീനമാസം സമ്പൂര്ണ നാള്ഫലം -
5 ദിനങ്ങള്ക്കുള്ളില് സൂര്യനെത്തുന്നു മീനത്തില്: പക്ഷേ ഈ രാശിക്കാര് അല്പം കരുതിയിരിക്കണം, നിര്ണായകം -
Rashiphalam: ഇന്ന് ഭാഗ്യയോഗങ്ങളില് മാറ്റങ്ങള് തേടി എത്തുന്ന രാശിക്കാര്: സമ്പൂര്ണഫലം ഇപ്രകാരം -
വ്യാഴം മിഥുനത്തില് നേര്ഗതിയില്: ഈ രാശിക്കാര് മാര്ച്ച് 11 മുതല് കരുതിയിരിക്കണം
പുരുഷന്റെ പ്രത്യുത്പാദനത്തിന് വെല്ലുവിളി ഈ അണുബാധ
ചൈനയില് നിന്ന് കൊറോണ വൈറസ് ലോകമെങ്ങും പടര്ന്നപ്പോള് അതിനെ ചെറുത്ത് തോല്പ്പിക്കുന്നതിന് വേണ്ടി എന്തൊക്കെ ചെയ്യണമെന്നതിനെക്കുറിച്ച് ഇപ്പോഴും പരീക്ഷണങ്ങള് നടത്തിക്കൊണ്ടിരിക്കുകയാണ് ലോകമെങ്ങും. എന്നാല് ഇപ്പോള് പുതിയ ഒരു അണുബാധ കൂടി ചൈനയെ ബാധിച്ചിരിക്കുകയാണ്. കൊറോണക്ക് പുറകേ ബ്രൂസെല്ലോസിസ് എന്ന ഒരു അണുബാധയാണ് ഇപ്പോള് ചൈനയില് വെല്ലുവിളി ഉയര്ത്തിക്കൊണ്ടിരിക്കുന്നത്. ഏകദേശം 3000-ത്തിലധികം ആളുകളെ ഇപ്പോള് തന്നെ രോഗം ബാധിച്ചിട്ടുണ്ട്. ഒദ്യോഗിക കണക്കനുസരിച്ച് 3000-ത്തിലധികം ആളുകളില് ഇപ്പോള് രോഗബാധയുണ്ടായിട്ടുണ്ട്.
എന്നാല് എന്താണ് ബ്രൂസെല്ലോസിസ്, എന്താണ് ഇതിനെ പ്രതിരോധിക്കാന് ചെയ്യേണ്ടത്, എന്താണ് ഇതിന്റെ ലക്ഷണങ്ങള് എന്നിവയെല്ലാം വളരെയധികം വെല്ലുവിളികള് ഉയര്ത്തുന്നതാണ്. വളര്ത്തു മൃഗങ്ങളില് നിന്നാണ് ഇത്തരം ഒരു രോഗം മനുഷ്യരെ ബാധിക്കുന്നത്. മാള്ട്ട പനി അഥവാ മെഡിറ്ററേനിയന് പനി എന്നും ഇത് അറിയപ്പെടുന്നുണ്ട്. ഇതിനെ പ്രതിരോധിക്കാന് എന്തൊക്കെ ചെയ്യണം എന്താണ് പ്രതിവിധി എന്ന് നമുക്ക് നോക്കാവുന്നതാണ്. കൂടുതല് അറിയുന്നതിന് വേണ്ടി വായിക്കൂ.

രോഗബാധ എങ്ങനെ
കഴിഞ്ഞ വര്ഷം ഒരു ബയോഫാര്മസ്യൂട്ടിക്കല് കമ്പനിയില് നിന്നുണ്ടായ ചോര്ച്ചയെ തുടര്ന്ന് വടക്കുപടിഞ്ഞാറന് ചൈനയിലെ മൂവായിരത്തിലധികം ആളുകളില് മാരകമായ ബാക്ടീരിയ അണുബാധയുണ്ടെന്ന് സ്ഥിരീകരിച്ചു. ഗാന്സു പ്രവിശ്യയുടെ തലസ്ഥാനമായ ലാന്ഷൗ നഗരത്തില് കുറഞ്ഞത് 3,245 പേര്ക്കെങ്കിലും പകര്ച്ചവ്യാധി ഉണ്ടെന്ന് സ്ഥിരീകരിച്ചതായി ലാന്ഷൗവിലെ ദേശീയ ആരോഗ്യ കമ്മീഷന് (എന്എച്ച്സി) സ്ഥിരീകരിച്ചു. എന്നിരുന്നാലും, ബാക്ടീരിയയെ ശ്വസിക്കുന്നതിലൂടെയും അണുബാധയുണ്ടാകാം എന്നാണ് പ്രാഥമിക നിഗമനം.

രോഗബാധ സംഭവിച്ചത്
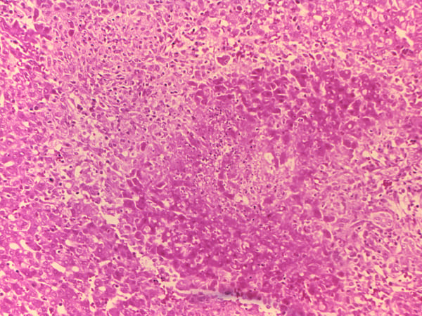
മൃഗങ്ങള്ക്ക് ബ്രൂസെല്ലോസിസ് വാക്സിനുകള് നിര്മ്മിക്കുന്ന ബയോളജിക്കല് ഫാര്മസ്യൂട്ടിക്കല് ഫാക്ടറി കഴിഞ്ഞ വേനല്ക്കാലത്ത് കാലഹരണപ്പെട്ട സാനിറ്റൈസറുകളുടെയും അണുനാശിനികളുടെയും ഉപയോഗം കാരണം ബ്രസെല്ലയുടെ (ബ്രൂസെല്ലോസിസിന് കാരണമാകുന്ന ബാക്ടീരിയ) എയറോസോളൈസ്ഡ് പതിപ്പ് വായുവിലേക്ക് കടന്നതായി അധികൃതര് കണ്ടെത്തി. ഇത് ചുറ്റുമുള്ള പ്രദേശത്തേക്ക് വായുവിലൂടെ ബാക്ടീരിയ രോഗം പടരാന് കാരണമായി. കരള്, പ്ലീഹ എന്നിവയുടെ വീക്കം, ശ്വാസകോശ സംബന്ധമായ പ്രശ്നങ്ങള്, പുരുഷന്മാരില് വന്ധ്യതയ്ക്ക് കാരണമാകുന്ന പ്രത്യുത്പാദന പ്രശ്നങ്ങള് എന്നിവ ഉള്പ്പെടെയുള്ള ഗുരുതരമായ പാര്ശ്വഫലങ്ങള് ഈ രോഗം മൂലം ഉണ്ടാവാം എന്ന് പ്രാധമിക നിരീക്ഷണത്തില് കണ്ടെത്തിയിട്ടുണ്ട്.

എന്താണ് ബ്രൂസെല്ലോസിസ്
എന്താണ് ബ്രൂസെല്ലോസിസ്? രോഗത്തിന്റെ ലക്ഷണങ്ങളും ലക്ഷണങ്ങളും എന്തൊക്കെയാണ്? ഇതെല്ലാം നാം മനസ്സിലാക്കിയിരിക്കേണ്ടത് അത്യാവശ്യമാണ്. ബ്രൂസെല്ല ജനുസ്സില് നിന്നുള്ള ഒരു കൂട്ടം ബാക്ടീരിയകള് മൂലമുണ്ടാകുന്ന പകര്ച്ചവ്യാധിയാണിത്. ഈ ബാക്ടീരിയകള് മനുഷ്യരെയും മൃഗങ്ങളെയും ഒരുപോലെ ബാധിക്കും ആടുകള്, കന്നുകാലികള്, ആട്, പന്നികള്, നായ്ക്കള് മുതലായവയിലാണ് രോഗബാധകള് വളരെയധികം തീവ്രമായി കാണുന്നത്. ഇത് മനുഷ്യരില് പല വിധത്തിലുള്ള പ്രത്യാഘാതങ്ങള് സൃഷ്ടിക്കും.

ലക്ഷണങ്ങള്
ബ്രൂസെല്ലോസിസ് രോഗത്തിന്റെ ലക്ഷണങ്ങള് എന്തൊക്കെയെന്ന് നമുക്ക് നോക്കാവുന്നതാണ്. ഇടക്കിടെ വരുന്നതും പോകുന്നതുമായ പനി, തലവേദന, വയറുവേദന, സന്ധി, പേശി,, നടുവേദന, ക്ഷീണം, തണുപ്പ്, വിയര്പ്പ്, ഭാരനഷ്ടം, വിശപ്പ് കുറവ് എന്നിവയാണ് പ്രധാന ലക്ഷണങ്ങള്. എന്നാല് ഇതില് ചിലത് ദീര്ഘകാലത്തേക്ക് വരെ പ്രത്യക്ഷപ്പെടാവുന്നതാണ്. അവഗണിച്ച് വിടുന്ന ലക്ഷണങ്ങള് പലപ്പോഴും വെല്ലുവിളി ഉ്ണ്ടാക്കുന്നതാണ് എന്നുള്ളതാണ് സത്യം.

മനുഷ്യരിലേക്ക് എങ്ങനെ?
മനുഷ്യരിലേക്ക് ഈ രോഗം എങ്ങനെ വ്യാപിക്കും എന്നുള്ളതാണ് ഇപ്പോഴത്തെ പ്രധാന ചോദ്യം. പാസ്ചുറൈസ് ചെയ്യാത്ത / അസംസ്കൃത പാലുല്പ്പന്നങ്ങള് കഴിക്കുകയോ കുടിക്കുകയോ ചെയ്യുന്നത് ബാക്ടീരിയ ബാധിക്കാനുള്ള ഏറ്റവും വെല്ലുവിളി ഉയര്ത്തുന്ന മാര്ഗ്ഗമാണ്. എന്നാല് ബ്രൂസെല്ലോസിസിന് കാരണമാകുന്ന ബാക്ടീരിയകള് വായുവിലൂടെയോ അല്ലെങ്കില് രോഗബാധയുള്ള മൃഗങ്ങളുമായി നേരിട്ട് ബന്ധപ്പെടുന്നതിലൂടെയോ വ്യാപിക്കാം. തുറന്ന മുറിവുകളിലൂടെയോ കഫം ചര്മ്മത്തിലൂടെയോ ഈ ബാക്ടീരിയകള് ശരീരത്തില് പ്രവേശിക്കും. വ്യക്തിഗതമായി ബ്രൂസെല്ലോസിസ് പടരുന്നത് വളരെ അപൂര്വമാണെങ്കിലും, ബാക്ടീരിയ ബാധിച്ച മുലയൂട്ടുന്ന അമ്മമാര്ക്ക് അവരുടെ കുഞ്ഞുങ്ങളിലേക്ക് അണുബാധ പകരാം എന്നാണ് പഠനങ്ങള് പറയുന്നത്. ഇത് കൂടാതെ ടിഷ്യു ട്രാന്സ്പ്ലാന്റേഷന് അല്ലെങ്കില് രക്തപ്പകര്ച്ച വഴിയും രോഗം പകരുന്നത് സംഭവിക്കാം, എന്നിരുന്നാലും ലൈംഗിക സംക്രമണം വളരെ അപൂര്വമായി മാത്രമേ റിപ്പോര്ട്ട് ചെയ്യപ്പെട്ടിട്ടുള്ളൂ.

സങ്കീര്ണതകള്
ബ്രൂസെല്ലോസിസ് രോഗത്തിന്റെ സങ്കീര്ണതകള് വളരെയധികം ശ്രദ്ധിക്കേണ്ടതാണ്. രോഗബാധയുണ്ടായി എന്ന് നിങ്ങള്ക്ക് തോന്നിയാല് അത് നിങ്ങളില് ഇനി പറയുന്ന പ്രശ്നങ്ങളാണ് ഉണ്ടാക്കുന്നത്. ഹൃദയം, കരള്, കേന്ദ്ര നാഡീവ്യൂഹം, പ്രത്യുല്പാദന സംവിധാനം എന്നിങ്ങനെ ശരീരത്തിന്റെ മിക്കവാറും എല്ലാ ഭാഗങ്ങളെയും അണുബാധ ബാധിച്ചേക്കാം. രോഗം മൂലമുണ്ടാകുന്ന ഗുരുതരമായ സങ്കീര്ണതകളിലൊന്നാണ് കോശജ്വലനത്തിന് കാരണമാകുന്നതെന്ന് പുരുഷന്മാരില് വന്ധ്യതയ്ക്ക് കാരണമാകുമെന്ന് ആരോഗ്യ വിദഗ്ധര് പറഞ്ഞു.

സങ്കീര്ണതകള്
സന്ധിവാതം, എന്ഡോകാര്ഡിറ്റിസ് (ഹൃദയത്തിന്റെ ആന്തരിക പാളിയിലെ അണുബാധ), എന്സെഫലൈറ്റിസ് (തലച്ചോറിന്റെ വീക്കം), മെനിഞ്ചൈറ്റിസ് (നിങ്ങളുടെ തലച്ചോറിനു ചുറ്റുമുള്ള ചര്മ്മത്തിന്റെ വീക്കം) മുതലായവ ബ്രൂസെല്ലോസിസിന്റെ മറ്റ് പാര്ശ്വഫലങ്ങളാണ്. ബ്രൂസെല്ലോസിസിന്റെ മരണനിരക്ക് കുറവാണെങ്കിലും അപകടകരമായ അവസ്ഥകള് ഉണ്ടാക്കുന്നുണ്ട്. അതുകൊണ്ട് തന്നെ വളരെയധികം ശ്രദ്ധിക്കേണ്ടതാണ്.

ചികിത്സയും പ്രതിരോധവും
റിഫാംപിന്, ഡോക്സിസൈക്ലിന് എന്നിവയുള്പ്പെടെയുള്ള ആന്റിബയോട്ടിക്കുകള് ഉപയോഗിച്ചാണ് ബ്രൂസെല്ലോസിസ് രോഗം സാധാരണയായി ചികിത്സിക്കുന്നത്. ചികിത്സയുടെ സമയത്തെയും അണുബാധയുടെ തീവ്രതയെയും ആശ്രയിച്ച് അസുഖത്തില് നിന്ന് കരകയറാന് ഏതാനും ആഴ്ചകള് മുതല് നിരവധി മാസങ്ങള് വരെ എടുത്തേക്കാം.

ശ്രദ്ധിക്കേണ്ട കാര്യം
അസംസ്കൃത / പാസ്ചുറൈസ് ചെയ്യാത്ത പാലുല്പ്പന്നങ്ങള് ഒഴിവാക്കുക, മൃഗങ്ങളെ കൈകാര്യം ചെയ്യുമ്പോഴോ ലബോറട്ടറിയില് ജോലി ചെയ്യുമ്പോഴോ റബ്ബര് കയ്യുറകള്, വസ്ത്രങ്ങള് അല്ലെങ്കില് ആപ്രോണുകള് ധരിക്കുന്നത് പോലുള്ള സുരക്ഷാ മുന്കരുതലുകള് എടുക്കുന്നത് ബ്രൂസെല്ലോസിസ് ഉണ്ടാകാനുള്ള സാധ്യത തടയാനോ കുറയ്ക്കാനോ സഹായിക്കും. മാംസം ശരിയായി പാചകം ചെയ്യുക, വളര്ത്തു മൃഗങ്ങള്ക്ക് വാക്സിനേഷന് നല്കുക എന്നിവയാണ് മറ്റ് പ്രതിരോധ നടപടികള്.



Click it and Unblock the Notifications











