Latest Updates
-
Rashiphalam: ഇന്ന് തെളിയുന്ന ഭാഗ്യ രാശിക്കാര്, നിങ്ങളുടെ ഇന്നത്തെ സമ്പൂര്ണഫലം ഇതാണ് -
മീനത്തില് ഭാഗ്യം തെളിയുന്നവര്: ഇനി അടുത്ത 30 നാള് ഈ നക്ഷത്രക്കാര്ക്കുള്ളത്, ധനവും, കരിയറും സുരക്ഷിതം -
ഭക്ഷണത്തില് ഉപ്പ് കൂടുതലോ? അറിയണം കിഡ്നിയെ ബാധിക്കുന്നതെങ്ങനെയെന്ന് -
30 വര്ഷത്തിനിപ്പുറം ശനിയും ചൊവ്വയും ചേരുന്നു: ശത്രു മുട്ടുമടക്കും, ധനം നിറഞ്ഞ് കുമിയും, ഭാഗ്യം ഏത് കോണിലും -
തടി കുറയ്ക്കാന് രാവിലെ ഈ ശീലങ്ങള് മാത്രം മതി: മറക്കാതെ ചെയ്യണം ഇതെല്ലാം -
കരള് എന്നെന്നും സുരക്ഷിതമായിരിക്കുന്നതിനും വിഷമുക്തമാക്കുന്നതിനും കഴിക്കണം ഈ ഭക്ഷണങ്ങള് -
മീനം 1 പുലരുന്നത് തന്നെ രാജയോഗത്തോടെ: അശ്വതി - രേവതി വരെ 27 നാളിനും മീനമാസം സമ്പൂര്ണ നാള്ഫലം -
5 ദിനങ്ങള്ക്കുള്ളില് സൂര്യനെത്തുന്നു മീനത്തില്: പക്ഷേ ഈ രാശിക്കാര് അല്പം കരുതിയിരിക്കണം, നിര്ണായകം -
Rashiphalam: ഇന്ന് ഭാഗ്യയോഗങ്ങളില് മാറ്റങ്ങള് തേടി എത്തുന്ന രാശിക്കാര്: സമ്പൂര്ണഫലം ഇപ്രകാരം -
വ്യാഴം മിഥുനത്തില് നേര്ഗതിയില്: ഈ രാശിക്കാര് മാര്ച്ച് 11 മുതല് കരുതിയിരിക്കണം
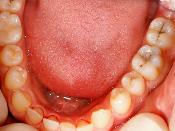
വായിലെ ക്യാന്സര്, ലക്ഷണങ്ങള് ഒളിഞ്ഞിരിയ്ക്കും
വായിലെ ക്യാന്സറിന്റെ ശ്രദ്ധിക്കാത്ത ചില ലക്ഷണങ്ങള് ഉണ്ട്. എന്തൊക്കെ എന്ന് നോക്കാം.
ക്യാന്സര് ഇന്നത്തെ കാലത്ത് നമ്മള് കേട്ടു തഴമ്പിച്ച വാക്കുകളില് മുന്നിലാണ്. പലപ്പോഴും ക്യാന്സറിന്റെ ഭീകരത നമ്മെ പേടിപ്പിയ്ക്കുന്നു. ക്യാന്സര് അപകടകാരിയായി മാറുന്നത് അതിന്റെ ആദ്യഘട്ടങ്ങളില് തിരിച്ചറിയപ്പെടാതെ പോകുമ്പോഴാണ്.
ക്യാന്സര് തുടക്കത്തിലേ ലക്ഷണങ്ങള് പലത് കാണിയ്ക്കുമെങ്കിലും അതിനെ വേണ്ട രീതിയില് ശ്രദ്ധിക്കാത്തത് അവസ്ഥ ഗുരുതരമാക്കുന്നു. ഇതില് തന്നെ ഏറ്റവും ഗുരുതരമായി കണക്കാക്കുന്നതാണ് വായിലെ ക്യാന്സര്.
വായിലെ ക്യാന്സര് ലക്ഷണങ്ങള് നിരവധി കാണിച്ച് തരുമെങ്കിലും പലപ്പോഴും അതിനെ അവഗണിയ്ക്കുന്നവരാണ് പകുതിയിലധികം പേരും. പ്രത്യേകിച്ച് പുകവലിക്കാര് ഈ ലക്ഷണങ്ങളെ അവഗണിയ്ക്കരുത്.

ചുണ്ടിലും വായിലും വ്രണങ്ങള്
പലപ്പോഴും ചുണ്ടിലും വായിലും വ്രണങ്ങള് കാണപ്പെടുന്നതാണ് പ്രധാന ലക്ഷണം. എന്നാല് പലപ്പോഴും അതിനെ വിറ്റാമിന് കുറവ് കൊണ്ടുണ്ടാകുന്ന പ്രശ്നം എന്ന് പറഞ്ഞ് തള്ളിക്കളയുമ്പോള് പലപ്പോഴും ക്യാന്സറിന്റെ ആദ്യ ലക്ഷണങ്ങളില് പെടുന്നവയാണ് ഇത് എന്നതാണ് സത്യം.

വായക്കകത്ത് വെളുത്ത പാടുകള്
വായക്കകത്ത് വെളുത്ത പാടുകള് കാണപ്പെടുന്നതും പ്രധാനമായ ഒന്നാണ്. വ്രണത്തിനു സമാനമായ ഇത്തരത്തിലുള്ള പാടുകളില് പലതും വായിലെ ക്യാന്സര് ലക്ഷണം തന്നെയാണ്.

തൊണ്ടയില് തടഞ്ഞതു പോലെ
തൊണ്ടയില് എപ്പോഴും എന്തെങ്കിലും തടഞ്ഞതു പോലെ അനുഭവപ്പെടുന്നതും ക്യാന്സര് ലക്ഷണമാണ.് പലപ്പോഴും മുള്ള് കുത്തിക്കയറുന്ന വേദനയാണ് അനുഭവപ്പെടുന്നതെങ്കില് ഉടന് തന്നെ ഡോക്ടറെ സമീപിയ്ക്കാം.

ചവയ്ക്കാനുള്ള ബുദ്ധിമുട്ട്
ഭക്ഷണം ചവയ്ക്കാനും വിഴുങ്ങാനുമുള്ള ബുദ്ധിമുട്ടാണ് മറ്റൊന്ന്. ഇത്തരത്തില് എന്തെങ്കിലും പ്രശ്നം ഒരാഴ്ചയ്ക്കപ്പുറം നീണ്ട് നില്ക്കുകയാണെങ്കില് ശ്രദ്ധിക്കുക.

നാവ് ചലിപ്പിയ്ക്കാന് ബുദ്ധിമുട്ട്
നാവ് ചലിപ്പിക്കാനും സംസാരിയ്ക്കാനുമുള്ള ബുദ്ധിമുട്ട് ഉണ്ടെങ്കില് ഉടന് തന്നെ ഡോക്ടറെ സമീപിക്കേണ്ടതാണ്. വായിലെ ക്യാന്സറിന്റെ മറ്റൊരു മുഖമാണ് ഇതെന്നതാണ് സത്യം.

താടിയെല്ലിനു താഴെ വീക്കം
താടിയെല്ലിനു താഴെ എന്തെങ്കിലും തരത്തിലുള്ള വീക്കം കണ്ടാലും അ്ല്പം ശ്രദ്ധിക്കാം. പല്ല് വേദന എന്ന് പറഞ്ഞിരിയ്ക്കാതെ കൃത്യമായ ചികിത്സ നടത്തേണ്ടത് അത്യാവശ്യമാണ്.

ചെവി വേദന
കേള്വിശക്തിയെ ബാധിയ്ക്കാത്ത വിധത്തില് ചെവിയില് വേദന അനുഭവപ്പെടുന്നതും പ്രശ്നമാണ്. ചെവി വേദനയാണ് എന്ന് കരുതി അതിനെ തള്ളിക്കളയരുത് ഒരിക്കലും.



Click it and Unblock the Notifications











