Latest Updates
-
Rashiphalam: നേട്ടങ്ങളിലേക്ക് ഇന്ന് ഈ രാശിക്കാര്, അറിയാം 12 രാശിക്കാര്ക്കും ഗുണദോഷഫലങ്ങള് -
അതിപ്രധാനമായ ശിവയോഗം: നേട്ടങ്ങളുടെ നെറുകയില് ഈ രാശിക്കാര്, ഉന്നതിയിലേക്ക് മണിക്കൂറുകള് മാത്രം -
വേനല് ഉഷാറാക്കാം നിര്ജ്ജലീകരണത്തെ ഇല്ലാതാക്കാം: തേങ്ങാവെള്ളത്തില് ഇവ മാത്രം ചേര്ത്താല് മതി -
ബുധാദിത്യ രാജയോഗം: സ്വന്തം നേട്ടങ്ങളില് അഭിമാനം വാനോളം, സമ്പത്താകട്ടെ ദിനവും ഇരട്ടിയാവും രാശിക്കാര് -
വഴിക്ക് കുറുകെ അപശകുനം പൂച്ച മാത്രമല്ല ഇവയേയും ജാഗ്രതയോടെ കാണണം -
ബുധന് മീനത്തിലെത്തുന്നു: ബിസിനസ്, ധനം, കരിയര് എല്ലാം സുരക്ഷിതം, 12 രാശിക്കും സമ്പൂര്ണഫലം -
മഞ്ഞള്പ്പാല് കുടിക്കുന്നവരാണോ? എന്നാല് ഈ പ്രശ്നങ്ങളെങ്കില് കുടിക്കരുത് -
വിഷയോഗവും സമസപ്തകയോഗവും: ശനിയോടൊപ്പം ചേരുന്നത് സൂര്യനും ചന്ദ്രനും, കരുതിയിരിക്കണം ഈ രാശിക്കാര് -
Rashiphalam: ഇന്ന് ആരംഭമായി ധനയോഗം, 12 രാശിക്കാര്ക്കും അറിയാം സമ്പൂര്ണഫലം -
പോഷക കലവറ ഈ ഭക്ഷണങ്ങള്: സ്ഥിരമാക്കണം ബദാം, ബീറ്റ്റൂട്ട്, ചീര ഉള്പ്പടെയുള്ളവ
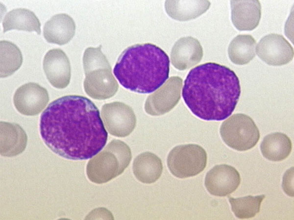
കുട്ടികളിലെ ബ്ലഡ് ക്യാന്സര്: പേടിയല്ല, കരുതലാണ് വേണ്ടത്.
കുട്ടികളില് കാണുന്ന ബ്ലഡ് കാന്സര് എങ്ങിനെ രൂപപ്പെടുന്നു എന്നത് ശാസ്ത്രത്തിന് കൃത്യമായി അറിയില്ല.
രക്തത്തിലുള്ള കോശങ്ങള്ക്ക് (രക്താണുക്കള്) പിടിപെടുന്ന കാന്സറിനെയാണ് ലുക്കീമിയ (Leukemia) എന്നു പറയുന്നത്. ഇന്ന് പ്രായഭേതമന്യ എല്ലാവരിലും കണ്ടുവരുന്ന ഈ ക്യാന്സര് തുടക്കസമയത്തെ കണ്ടെത്തുകയാണെങ്കില് പൂര്ണ്ണമായി സുഖപ്പെടുത്തുവാന് സാധിക്കും. മുതിര്ന്നവരില് ഇന്ന് ക്യാന്സര് പുതമയുള്ളഒരു കാര്യമല്ലെങ്കിലും കുട്ടികളില് ഉണ്ടാകുന്ന ക്യാന്സറുകള് ഏവരെയും സങ്കടപ്പെടുത്തുന്ന ഒന്നാണ്.

.....എന്താണ് കുട്ടികളുടെ ബ്ലഡ് കാന്സറിന് കാരണം?
കുട്ടികളില് കാണുന്ന ബ്ലഡ് കാന്സര് എങ്ങിനെ രൂപപ്പെടുന്നു എന്നത് ശാസ്ത്രത്തിന് കൃത്യമായി അറിയില്ല. അതുകൊണ്ടുതന്നെ കുട്ടികളിലെ ഭക്ഷണരീതിയിലോ, ജീവിതരീതിയിലോ ഉള്ള മാറ്റം കാന്സര് ഉണ്ടാക്കുന്നു എന്നതിന് യാതൊരു തെളിവുമില്ല. അതുകൊണ്ട് തെറ്റിദ്ധാരണയും കുറ്റബോധവും ഒഴിവാക്കാം. മുതിര്ന്നവരില് പുകവലി, മദ്യപാനം, ചില അണുബാധ എന്നിവ കാന്സറിന് കാരണമാകുന്നതായി തെളിയിക്കപ്പെട്ടിട്ടുണ്ട്. എന്നാല് കുട്ടികളില് ഇത് തെളിയിക്കപ്പെട്ടിട്ടില്ല.

....എത്രതരം ബ്ലഡ് കാന്സറുകള്
നാല് തരം ബ്ലഡ് കാന്സര് നിലനില്ക്കുന്നു. അതില് ഏറ്റവും കൂടുതലായി കാണുന്നത് Acute Lymphoblastic Leukemiaയും രണ്ടാമതായി Acute Myelogenous Leukemiaയും അതുകഴിഞ്ഞാല് Chronic myelogenous Leukemia യുമാണ്. നാലാമതായുള്ള Chronic Lymphocytic Leukemia കുട്ടികളില് വളരെ വളരെ അസാധാരണവുമാണ്. കുട്ടികളില് കാണുന്ന ബ്ലഡ് കാന്സറില് 75 ശതമാനവും Acute Lymphoblastic Leukemia ആണ്. ചികിത്സിച്ചാല് ഏറ്റവും നല്ല ഫലം കിട്ടുന്നതും ഇത്തരത്തിലുള്ള ബ്ലഡ് കാന്സര് ആണ്. കുട്ടികളില് കൂടുതലായി കാണുന്ന ഇത്തരം കാന്സറില് 90% വും ചികിത്സിച്ച് ഭേദമാക്കാവുന്നതാണ്. എന്നാല് തുടത്തിലെ തിരിച്ചറിഞ്ഞ് മികച്ച രീതിയിലുള്ള ചികിത്സ ഉറപ്പുവരുത്തെണ്ടതാണ്.

.....ഇവയാണ് ലക്ഷണങ്ങള്.
ഒരിക്കലും അവസാനിക്കാത്ത ക്ഷീണമാണ് കുട്ടികളിലെ ബ്ലെഡ് ക്യാന്സറിന്റെ പ്രധാന ലക്ഷണം. എപ്പോഴും ഒന്നും ചെയ്യാന് സാധിക്കാത്ത വിധത്തില് ക്ഷീണിതരായിരിക്കുന്ന കുട്ടികള് ഒട്ടും ഉത്സാഹമില്ലാത്തവരായി മാറുന്നു. വിളര്ച്ചയാണ് കുട്ടികളില് ഉണ്ടാകുന്ന മറ്റൊരു പ്രധാന ലക്ഷണം. ശരീരത്തിലെ രക്താംശം പൂര്ണ്ണമായി ഇല്ലാതായ വിധത്തില് കുട്ടികളില് വിളര്ച്ച അനുഭവപ്പെടുകയും അവര് ആകെ അവശരായി തീരുകയും ചെയ്യുന്നു. വിട്ടുമാറാത്ത പനിയാണ് ബ്ലഡ് ക്യാന്സറിന്റെ മറ്റൊരു ലക്ഷണം.

പനി കുട്ടികള്ക്ക് ഒരു സാധാരണ രോഗമാണെങ്കിലും ഒരിക്കലും പൂര്ണ്ണമായി വിട്ടുമാറാത്ത പനി ക്യാന്സറിന്റെ പ്രധാന ലക്ഷണങ്ങളില് ഒന്നാണ്. ബ്ലഡ് ക്യാന്സര് ഉള്ള കുട്ടികളുടെ മൂക്കിലൂടെയും വായിലൂടെയും തൊലിപ്പുറത്തു നിന്നും പെട്ടെന്ന് ബ്ലീഡിംഗ് ഉണ്ടാവും. ഒരു പക്ഷെ പെട്ടെന്ന് തിരിച്ചറിയാന് പറ്റുന്ന ലക്ഷണവും ഇത് തന്നെയായിരിക്കും. മുന്പ് പറഞ്ഞതെല്ലാം കുട്ടികളില് സ്വഭാവികമായി ഉണ്ടാകാന് സാധ്യതയുള്ള രോഗഅവസ്ഥകളാണെങ്കിലും ശരീരത്തിലുണ്ടാകുന്ന ബ്ലീഡിംഗാണ് പെട്ടന്ന് ശ്രദ്ധിക്കപ്പെടുന്ന ഒരു ലക്ഷണം. കട്ടികളില് ഉണ്ടാകാന് സാധ്യതയുള്ള മറ്റെരു ലക്ഷണം അസ്ഥികളിലും സന്ധികളിലും ഉണ്ടാകുന്ന വിട്ടുമാറാത്ത വേദനയാണ്.

ശരീരത്തില് ആകെ കാണാന് സ്ാധ്യതയുള്ള മുഴകളാണ് കുട്ടികളിലെ ബ്ലഡ് ക്യാന്സറിന്റെ മറ്റൊരു പ്രധാന ലക്ഷണം എല്ലാവരിലും ഇത്തരം മുഴകള് ഉണ്ടാകാന് സാധ്യതയില്ലെങ്കിലും ഇതും ബ്ലഡ് ക്യാന്സറിന്റെ ഒരു പ്രധാന ലക്ഷണങ്ങളില് ഒന്നാണ്.
മുകളില് പറയുന്ന രോഗലക്ഷണങ്ങള് ധാരണ അസുഖങ്ങള് കൊണ്ടും കുട്ടികളില് ഉണ്ടാകുന്നവയാണ്. അതുകൊണ്ട് ഇത്തരം രോഗലക്ഷണങ്ങള് കാണുമ്പോള് അത് ബ്ലഡ് കാന്സര് ആണെന്ന് കരുതി മതാപിതാക്കന്മാര് അസ്വസ്ഥമാകരുത്. നിങ്ങള്ക്ക് എന്തെങ്കിലും സംശയങ്ങള് ഉണ്ടെങ്കില് ഡോക്ടറുടെ ഉപദേശങ്ങള് സ്വീകരിച്ച് കൊണ്ട് മാത്രം ഒരു തീരുമാനത്തില് എത്തുക.

...കാന്സര് കണ്ടുപിടിക്കാനുള്ള ടെസ്റ്റുകള് എന്തൊക്കെ?
വിവിധതരം കാന്സറുകള് കണ്ടുപിടിക്കാന് പലതരം ടെസ്റ്റുകള് ആവശ്യമായി വരും. കാന്സര് ബാധിച്ചിട്ടുണ്ടോ എന്ന് ഉറപ്പുവരുത്താനുള്ള ടെസ്റ്റിനെ ബയോപ്സി (Biospy) എന്നാണ് പറയുന്നത്.
അനിയന്ത്രിതമായി വളര്ന്ന ശരീരത്തിന്റെ ഭാഗങ്ങള്; അത് പുറമെ കാണുന്ന മുഴയായിരിക്കാം അല്ലെങ്കില് ചിലപ്പോള് ശരീരത്തിനകത്ത് രൂപപ്പെട്ട മുഴയുമാവാം. ചെറിയ ഓപ്പറേഷനിലൂടെ മുഴകളുടെ ചെറിയ ഭാഗം കുത്തിയെടുത്ത് മൈക്രോസ്കോപ്പിലൂടെ നോക്കി കാന്സറാണോ ആണെങ്കില് അത് ഏത് തരത്തിലുള്ള കാന്സറാണ് എന്ന് കണ്ടുപിടിക്കുവാന് സാധിക്കും. ഇതിനെയാണ് Tissue Biospy എന്നു പറയുന്നത്. രക്താര്ബുദം ആണെന്ന് നിര്ണയിക്കുന്നതിന് എല്ലിന് (bone) അകത്തുള്ള മജ്ജയുടെ വളരെ ചെറിയ ഭാഗം എടുത്ത് മൈക്രോസ്കോപ്പിലൂടെ പരിശോധിക്കുന്നു.ഇതിനെ Bone marrow biospy എന്നു പറയുന്നു. നിങ്ങളുടെ കുട്ടിയുടെ ഡോക്ടര് കുട്ടിക്ക് ബ്ലഡ് കാന്സര് ഉണ്ടോ എന്ന് സംശയിക്കുന്നുണ്ടെങ്കില് FBC (Full Blood Count) ചെയ്താല് ബ്ലഡ് കാന്സര് ഉണ്ടോ എന്നതിനെക്കുറിച്ചുള്ള സാധ്യതകള് ഡോക്ടര്ക്ക് പറയാന് സാധിക്കും.

...കുട്ടികളിലെ ബ്ലഡ് കാന്സര് ചികിത്സിക്കുന്നത്?
നിങ്ങളുടെ കുട്ടിയില് ബ്ലഡ് കാന്സര് നിര്ണ്ണയിക്കപ്പെട്ടാല് അത് ഏതുതരത്തിലുള്ള ബ്ലഡ് കാന്സര് ആണെന്നും Prognostic Factor അറിയാനുള്ള ടെസ്റ്റുകളും എത്രയും വേഗം പൂര്ത്തീകരിക്കണം. ഈ വിവരങ്ങളുടെ അടിസ്ഥാനത്തില് കുട്ടിയുടെ ഡോക്ടര് നിങ്ങളോട് ചര്ച്ച ചെയ്ത് ചികിത്സാ രീതി തീരുമാനിക്കുകയാണ് പതിവ്. ബ്ലഡ് കാന്സര് ചികിത്സയില് ഏറ്റവും പ്രധാനപ്പെട്ടത് കീമോതെറാപ്പി (Chemotherapy) യാണ്. ഇഞ്ചക്ഷനിലൂടെയോ, വായിലൂടെയോ നല്കാന് കഴിയുന്ന മരുന്നുകളാണ് കീമോതെറാപ്പി. ഇവ പൊതുവെ കാഠിന്യം കൂടിയ മരുന്നുകളാണ്. ഓരോ കീമോതെറാപ്പി മരുന്നിനും വിവിധ തരത്തിലുള്ള പാര്ശ്വഫലങ്ങള് ഉണ്ട്. ഏതൊക്കെ മരുന്നുകളാണ് ചികിത്സിക്കാന് ഉപയോഗിക്കുന്നത് എന്ന് ഡോക്ടറോട് ചോദിച്ച് മനസ്സിലാക്കുന്നത് നല്ലതാണ്.
കാന്സര് ചികിത്സ ഒരു യാത്രയാണ്. നാട്ടിലെ പേരുകേട്ട ഡോക്ടറെ ഒരു ദിവസം പരിശോധിപ്പിച്ച് പെട്ടെന്ന് മാറ്റിയെടുക്കാവുന്ന ഒരു രോഗമല്ല കാന്സര്. മറിച്ച് പലതരം മരുന്നുകള്, പല രീതിയില്, പലപ്പോഴായി, കൃത്യമായ മുന് തീരുമാനത്തോടെ കുറച്ചു മാസങ്ങളോളം ചികിത്സിക്കേണ്ടിവരും. ഡോക്ടറെ അടിക്കടി മാറ്റുന്നത് കാന്സര് ചികിത്സയെ സഹായിക്കില്ല.

തുടക്കിലെ കണ്ടെത്തി ഫലപ്രദമായി രീതിയില് ചിത്സിക്കുകയാണെങ്കില് ഏത് തരം ക്യാന്സറിനെയും പൂര്ണ്ണമായി സുഖപ്പെടുത്തുവാന് സാധിക്കും. രോഗലക്ഷണങ്ങള് കാണിച്ച് തുടങ്ങുമ്പോള് തന്നെ പരിഭ്രാന്തരാകതെ ഉചിതമായ വൈദ്യസഹായം തേടിയാല് തീര്ച്ചയായും നിങ്ങളുടെ കുട്ടികള് സുഖം പ്രാപിക്കും.
Disclaimer: ഈ ലേഖനത്തില് പരാമര്ശിച്ചിരിക്കുന്ന വിവരങ്ങള് പൊതുവായ വിവരങ്ങള്ക്കും വിദ്യാഭ്യാസപരമായ ആവശ്യങ്ങള്ക്കും വേണ്ടി മാത്രമുള്ളതാണ്. പ്രൊഫഷണല് അഭിപ്രായങ്ങളോ, രോഗനിര്ണയം, ചികിത്സ എന്നിവ ഉദ്ദേശിച്ചുള്ളതോ അല്ല. ആരോഗ്യ സംബന്ധമായ പ്രശ്നങ്ങള്ക്ക് എപ്പോഴും ഡോക്ടറേയോ ആരോഗ്യവിദഗ്ധരേയോ സമീപിക്കേണ്ടതാണ്.



Click it and Unblock the Notifications












