Latest Updates
-
ഗ്രഹമാറ്റം ഏപ്രിൽ 16: ജീവിതം മാറിമറിയുന്ന അപ്രതീക്ഷിത മാറ്റങ്ങൾ ഇതാ -
രാജയോഗം തേടി അലയുന്നോ? സോഷ്യൽ മീഡിയയിലെ തട്ടിപ്പുകൾ തിരിച്ചറിയൂ -
ഗജകേസരി യോഗം: 5 രാശിക്ക് ഇന്ന് ഭാഗ്യത്തിന്റെ സുവർണ്ണകാലം -
നക്ഷത്രഫലം ഏപ്രിൽ 16: കരിയറിൽ വൻ കുതിച്ചുചാട്ടം, ഭാഗ്യം ആർക്കൊക്കെ? -
രാശിഫലം: കരിയറിൽ വൻ കുതിപ്പ്, ഈ രാശിക്കാർക്ക് ഇന്ന് ഭാഗ്യദിനം -
ഇന്നത്തെ രാശിഫലം: ഈ രാശിക്കാർക്ക് ഇന്ന് ഭാഗ്യോദയം; പണവും പ്രശസ്തിയും തേടിയെത്തും! -
ഉഷ്ണതരംഗം വരുന്നു; ചൂടിനെ തുരത്താൻ ഈ പാനീയങ്ങൾ മതി -
വേനൽക്കാല വ്യായാമം: കഠിനമായ ചൂടിൽ തളരാതെ ഫിറ്റ്നസ് നിലനിർത്താം -
ഉഷ്ണതരംഗം വരുന്നു; ഗർഭിണികളും പിസിഒഎസ് ഉള്ളവരും സൂക്ഷിക്കണം! -
രാശിഫലം: ഈ 3 രാശിക്കാർക്ക് ഇന്ന് തൊഴിൽരംഗത്ത് വൻ കുതിച്ചുചാട്ടം
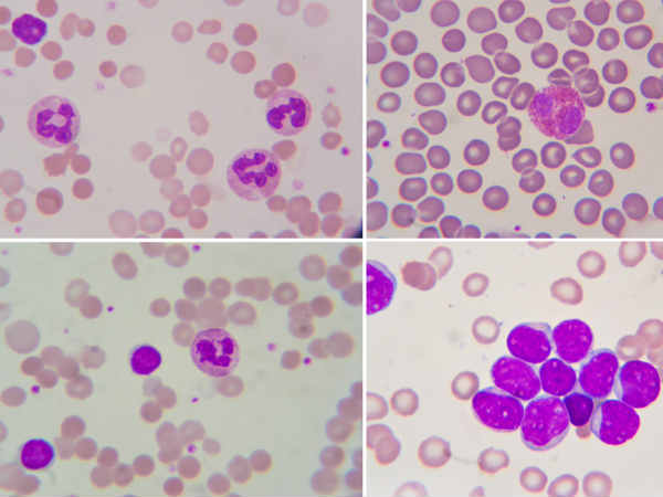
ന്യൂട്രോഫിലിന്റെ അളവ് ഉയര്ന്നാല്
നിങ്ങളുടെ ശരീരം അണുബാധയെ ചെറുക്കാന് ഉപയോഗിക്കുന്ന ഒരു തരം ശ്വേത രക്താണുക്കളാണ് ന്യൂട്രോഫില്. അണുബാധമൂലം ഇടയ്ക്ക് ന്യൂട്രോഫില്ലിന്റെ അളവ് ഉയരാം. എന്നാല് മറ്റ് ചില അസുഖങ്ങളാലും ചില മരുന്നുകളുടെ ഉപയോഗത്താലും ഇങ്ങനെ സംഭവിക്കാം.
മാനസികവും ശാരീരികവുമായ സമ്മര്ദ്ദങ്ങളും ചിലപ്പോള് പുകവലി പോലും ന്യൂട്രോഫിലിന്റെ അളവ് ഉയരാന് കാരണമാകും ന്യൂട്രോഫിലിന്റെ അളവ് ഉയര്ന്നിരിക്കുന്നത് സാധാരണ രീതിയില് ഗുരുതരമായ പ്രശ്നമല്ല. എങ്കിലും ന്യൂട്രോഫിലിന്റെ അളവ് കൂടുതലാണന്ന് പറയുകയാണെങ്കില് ഡോക്ടറുടെ നിര്ദ്ദേശം തേടണം.

ന്യൂട്രോഫില് നില ഉയര്ന്നതിന് ശേഷം
വല്ലപ്പോഴും ഒരിക്കല് ന്യൂട്രോഫില് നില ഉയരുന്നത് അപകടകരമല്ല. ചികിത്സ കൂടാതെ തന്നെ സാധാരണ നിലയിലേക്കിത് മടങ്ങി എത്തികൊള്ളും. ന്യൂട്രോഫിലിന്റെ അളവ് ഇത്തരത്തില് സാധാരണ ഗതിയിലേക്ക് മടങ്ങി എത്തിയെന്ന് ഉറപ്പ് വരുത്തണം.ഡോക്ടര് ഇതിനായി രക്ത പരിശോധന നടത്താന് ആവശ്യപ്പെടാറുണ്ട്.
ഡോക്ടറോട് സംസാരിക്കുക
നിങ്ങളുടെ ന്യൂട്രോഫില് നില ഉയര്ന്നിരിക്കുകയാണെങ്കില് നിങ്ങളുടെ ആരോഗ്യത്തെ കുറിച്ചും രോഗങ്ങളെ കുറിച്ചും ഡോക്ടര് ചോദിക്കും. നിങ്ങള് കഴിക്കുന്ന എല്ലാ മരുന്നുകളെ കുറിച്ചും ഡോക്ടറോട് പറയുക. സ്റ്റിറോയിഡുകള് ന്യൂട്രോഫിലിന്റെ അളവ് ഉയരാന് കാരണമാകാറുണ്ട്. അടുത്ത കാലത്തായി എന്തെങ്കിലും രോഗം ഉണ്ടായിട്ടുണ്ടെങ്കിലും മാനസികമോ ശാരിരികമായോ എന്തെങ്കിലും സമ്മര്ദ്ദങ്ങള് അനുഭവിക്കുന്നുണ്ടെങ്കിലും ഡോക്ടറോട് പറയുക. രാവിലെ കഠിനമായി ഓടിയിട്ടുണ്ടെങ്കിലും രക്ത പരിശോധനയില് ന്യൂട്രോഫിലിന്റെ അളവ് ഉയര്ന്നിരിക്കുന്നതായി കാണിക്കും. ഗര്ഭധാരണം, അണുബാധ, ശാരീരിക ക്ഷതം എന്നിവയും ന്യൂട്രോഫിലിന്റെ അളവ് ഉയരാന് കാരണമാകും. പുകവലിക്കുന്നവരാണെങ്കില് അത് ഉപേക്ഷിക്കാന് ഡോക്ടര് ആവശ്യപ്പെട്ടേക്കാം.
കൂടുതല് പരിശോധന
തുടര് രക്ത പരിശോധനയിലും ന്യൂട്രോഫിലിന്റെ അളവ് ഉയര്ന്നിരിക്കുകയാണെങ്കിലും ന്യൂട്രോഫിലിന്റെ അളവ് ഉയരാന് സാധ്യത ഉണ്ടെന്ന് ഡോക്ടറിന് തോന്നുകയാണെങ്കിലും എന്തുകൊണ്ടാണ് ഇങ്ങനെ സംഭിവിക്കുന്നത് എന്നറിയാന് കൂടുതല് പരിശോധന നടത്താന് ആവശ്യപ്പെടാറുണ്ട്. പല തരം അണുബാധ, വ്രണം, പലതരം അര്ബുദങ്ങള് തുങ്ങിയവയ്ക്കുള്ള പ്രത്യേക രക്ത പരിശോധനകള് നടത്താന് നിര്ദ്ദേശിച്ചേക്കാം.
നിയന്ത്രണവും ചികിത്സയും
ന്യൂട്രോഫിലിന്റെ അളവ് ഉയരുന്നതിന് കാരണമാകുന്ന അവസ്ഥ ഉണ്ടെങ്കില് ഇതിനുള്ള ചികിത്സയ്ക്ക് നിര്ദ്ദേശിക്കും. ഏത് തരം അവസ്ഥ എന്നതിനെ ആശ്രയിച്ചായിരിക്കും ചികിത്സ. പ്രത്യേകിച്ച് കാരണം ഒന്നുമില്ലാതെ ന്യൂട്രോഫിലിന്റെ അളവ് ഉയര്ന്ന നിലയില് തുടരുകയാണെങ്കില് കൃത്യമായ ഇടവേളകളില് രക്ത പരിശോധന നടത്താന് ഡോക്ടര് ആവശ്യപ്പെടും. ന്യൂട്രോഫിലിന്റെ അളവ് വീണ്ടും പിരശോധിക്കുന്നതിന് വേണ്ടിയാണിത്. ആയുര്വേദത്തില് ശംഖിന്റെ ഉപയോഗങ്ങള്
Disclaimer: ഈ ലേഖനത്തില് പരാമര്ശിച്ചിരിക്കുന്ന വിവരങ്ങള് പൊതുവായ വിവരങ്ങള്ക്കും വിദ്യാഭ്യാസപരമായ ആവശ്യങ്ങള്ക്കും വേണ്ടി മാത്രമുള്ളതാണ്. പ്രൊഫഷണല് അഭിപ്രായങ്ങളോ, രോഗനിര്ണയം, ചികിത്സ എന്നിവ ഉദ്ദേശിച്ചുള്ളതോ അല്ല. ആരോഗ്യ സംബന്ധമായ പ്രശ്നങ്ങള്ക്ക് എപ്പോഴും ഡോക്ടറേയോ ആരോഗ്യവിദഗ്ധരേയോ സമീപിക്കേണ്ടതാണ്.



Click it and Unblock the Notifications











