Latest Updates
-
Rashiphalam: ഇന്ന് ഭാഗ്യയോഗങ്ങളില് മാറ്റങ്ങള് തേടി എത്തുന്ന രാശിക്കാര്: സമ്പൂര്ണഫലം ഇപ്രകാരം -
വ്യാഴം മിഥുനത്തില് നേര്ഗതിയില്: ഈ രാശിക്കാര് മാര്ച്ച് 11 മുതല് കരുതിയിരിക്കണം -
സ്ഥിരമായി ബീറ്റ്റൂട്ട് ജ്യൂസ് കുടിക്കുന്നോ? എങ്കില് ഇക്കാര്യങ്ങള് പരിഗണിക്കണം -
കാത്തിരുന്ന നക്ഷത്രമാറ്റം: രാജകീയ ജീവിതം നല്കുന്ന കേതു, മകം നക്ഷത്രത്തിലേക്ക് പ്രൗഡിയോടെ ഇവര് -
ശകുനം പറയും കണ്ണ് തുടിക്കുന്നതും ഉള്ളം കൈ ചൊറിയുന്നതും എന്തിനാണെന്ന്: ഭാവിയില് ഇത് സംഭവിക്കാം -
ആരോഗ്യത്തിന്റെ കലവറ ആയുസ്സിന് മുതല്ക്കൂട്ട്: പക്ഷേ മാതള നാരങ്ങ ഇവര് കഴിക്കരുത്, കാരണം ഇതാ -
മാര്ച്ച് 11-ന് ശനി അസ്തമയം: വിഷുവിന് ശേഷമുള്ള ഒരാഴ്ച വരെ മാറ്റങ്ങള് അതിഗംഭീരം ഈ രാശിക്കാര്ക്ക് -
ശനിയുടെ നക്ഷത്രത്തിലേക്ക് ചൊവ്വ: ഉത്രട്ടാതി നാളില് സംഭവിക്കുന്ന മാറ്റം നിസ്സാരമല്ല, ഭാഗ്യം കടാക്ഷിക്കും രാശി -
Rashiphalam: ഇന്ന് നിങ്ങള്ക്ക് എങ്ങനെ, അറിയണം 12 രാശിക്കാര്ക്കും ഗുണങ്ങളും ദോഷങ്ങളും ഇപ്രകാരമെന്ന് -
നെല്ലിക്ക ജ്യൂസില് ഒരു നുള്ള് മഞ്ഞള്പ്പൊടിയിട്ട് രാവിലെ കുടിക്കാം : ഗുണങ്ങള് ഇതെല്ലാം
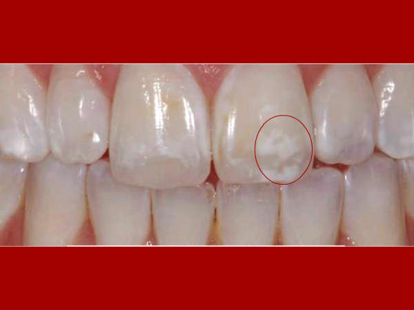
പല്ലില് വെളുത്ത പാടോ, ഇതാ പരിഹാരം
ചിലരുടെ പല്ലിലുണ്ടാകുന്ന പ്രശ്നമാണ് പല്ലിലെ വെളുത്ത കുത്തുകള്.
മുഖസൗന്ദര്യത്തില് പല്ലിന്റെ സൗന്ദര്യത്തിനും പ്രധാന പങ്കുണ്ട്. മുത്തുപൊഴിയുംപോലുള്ള ചിരിയെന്നൊക്കെ ഉപമ കേട്ടിട്ടില്ലേ. ഇത്തരം ഭംഗിയുള്ള ചിരിയ്ക്ക് പല്ലിന്റെ സൗന്ദര്യവും ഏറെ പ്രധാനം തന്നെയാണ്.
കേടല്ലാതെ പല്ലിന്റെ സൗന്ദര്യത്തെ ബാധിയ്ക്കുന്ന പല പ്രശ്നങ്ങളുമുണ്ട്, ഇതില് പല്ലിനുണ്ടാകുന്ന കറുത്ത പാട്, കറ തുടങ്ങിയവയെല്ലാം പെടും.
ചിലരുടെ പല്ലിലുണ്ടാകുന്ന പ്രശ്നമാണ് പല്ലിലെ വെളുത്ത കുത്തുകള്. ഫ്ളൂറൈഡ് തോത് കൂടുതലാകുന്നത്, കാല്സ്യം കുറവ് തുടങ്ങിയവയെല്ലാം ഇത്തരം പ്രശ്നത്തിനു പുറകിലുണ്ട്.
ഇതിന് ചികിത്സ തേടി പോകുന്നതിനു മുന്പായി വീട്ടുവൈദ്യങ്ങള് പരീക്ഷിയ്ക്കുന്നതാണ് ഏറെ ഗുണകരം. ഇതിനുള്ള ചില വീട്ടുവൈദ്യങ്ങളെക്കുറിച്ചറിയൂ,

തുളസി
തുളസി ഇതിനുളള സ്വാഭാവിക പരിഹാരമാണ്. തുളസിയരച്ച് പല്ലിലിടുന്നത് പല്ലിലെ വെളുത്ത കുത്തുകളെ അകറ്റും.

ബേക്കിംഗ് സോഡ
അല്പം ബേക്കിംഗ് സോഡയെടുത്ത് പല്ലില് പാടുളളിടത്ത് ഉരസുക. ഇത് ദിവസവും ഒരു തവണ ചെയ്യാം. അടുപ്പിച്ചു ചെയ്യുന്നതു ഗുണം നല്കും. ഈ പാനീയം കുടിച്ചു നര മാറ്റാം...

ആപ്പിള്
ദിവസവും ആപ്പിള് കഴിയ്ക്കുന്നത് പല്ലിലെ വെളുത്ത പാടുകളകറ്റാന് ഏറെ ഗുണകരമാണ്. ഇത് അയേണ് കുറവു നികത്തും.

ഡ്രൈ നട്സ്
കാല്സ്യം, അയേണ്, ധാതുക്കള് എന്നിവ ഏറെ അടങ്ങിയതാണ് ഡ്രൈ നട്സ്. ഇവ കഴിയ്ക്കുന്നത് പല്ലിലെ വെളുത്തു കുത്തുകള്ക്കുള്ള നല്ലൊരു പരിഹാരമാണ്.

ചെറുനാരങ്ങാനീര്
ഒരു ടേബിള് സ്പൂണ് ചെറുനാരങ്ങാനീര് ഒരു കപ്പു വെള്ളത്തില് കലക്കി മൗത്ത് വാഷ് ആയി ഉപയോഗിയ്ക്കാം. ഇത് പല്ലിലെ വെളുത്ത പാടുകള് നീക്കും.

വിനെഗര്
ബേക്കിംഗ് സോഡ, വിനെഗര് എന്നിവ കലക്കി പേസ്റ്റാക്കി പല്ലില് ബ്രഷ് ചെയ്യുന്നതും നല്ല പരിഹാരമാണ്.

ഒഴിവാക്കുക
കോള പോലുള്ള ശീലങ്ങള് ഒഴിവാക്കുക. പല്ലിലെ ഇനാമല് കളഞ്ഞ് പല്ലില് വെളുത്ത പാടുകളുണ്ടാകാനുള്ള ഒരു പ്രധാന കാരണമാണിത്.

പുകവലി
പല്ലിന്റെ ആരോഗ്യം കളയുന്ന ഒരു പ്രധാന കാരണമാണ് പുകവലി. ഈ ശീലം ഉപേക്ഷിയ്ക്കുക.



Click it and Unblock the Notifications











