Latest Updates
-
മീനത്തില് ഭാഗ്യം തെളിയുന്നവര്: ഇനി അടുത്ത 30 നാള് ഈ നക്ഷത്രക്കാര്ക്കുള്ളത്, ധനവും, കരിയറും സുരക്ഷിതം -
ഭക്ഷണത്തില് ഉപ്പ് കൂടുതലോ? അറിയണം കിഡ്നിയെ ബാധിക്കുന്നതെങ്ങനെയെന്ന് -
30 വര്ഷത്തിനിപ്പുറം ശനിയും ചൊവ്വയും ചേരുന്നു: ശത്രു മുട്ടുമടക്കും, ധനം നിറഞ്ഞ് കുമിയും, ഭാഗ്യം ഏത് കോണിലും -
തടി കുറയ്ക്കാന് രാവിലെ ഈ ശീലങ്ങള് മാത്രം മതി: മറക്കാതെ ചെയ്യണം ഇതെല്ലാം -
കരള് എന്നെന്നും സുരക്ഷിതമായിരിക്കുന്നതിനും വിഷമുക്തമാക്കുന്നതിനും കഴിക്കണം ഈ ഭക്ഷണങ്ങള് -
മീനം 1 പുലരുന്നത് തന്നെ രാജയോഗത്തോടെ: അശ്വതി - രേവതി വരെ 27 നാളിനും മീനമാസം സമ്പൂര്ണ നാള്ഫലം -
5 ദിനങ്ങള്ക്കുള്ളില് സൂര്യനെത്തുന്നു മീനത്തില്: പക്ഷേ ഈ രാശിക്കാര് അല്പം കരുതിയിരിക്കണം, നിര്ണായകം -
Rashiphalam: ഇന്ന് ഭാഗ്യയോഗങ്ങളില് മാറ്റങ്ങള് തേടി എത്തുന്ന രാശിക്കാര്: സമ്പൂര്ണഫലം ഇപ്രകാരം -
വ്യാഴം മിഥുനത്തില് നേര്ഗതിയില്: ഈ രാശിക്കാര് മാര്ച്ച് 11 മുതല് കരുതിയിരിക്കണം -
സ്ഥിരമായി ബീറ്റ്റൂട്ട് ജ്യൂസ് കുടിക്കുന്നോ? എങ്കില് ഇക്കാര്യങ്ങള് പരിഗണിക്കണം
പല്ല് ഇങ്ങനെയാവേണ്ടെങ്കില് ഈ കുഞ്ഞ് കാര്യം ശ്രദ്ധിക്കണം
ആരോഗ്യമുള്ള ശരീരത്തിലേ ആരോഗ്യമുള്ള മനസ്സുണ്ടാവൂ എന്ന് നാം കേട്ടിട്ടുണ്ട്. എന്നാല് ഇതിന് പിന്നിലെ കാരണങ്ങള് ചില്ലറയല്ല. ശരീരം ആരോഗ്യകരമാകണമെങ്കില് വായ ആദ്യം ആരോഗ്യകരമായിരിക്കണം. കാരണം നമ്മുടെ ശരീരത്തിന് ആവശ്യമായ പോഷകങ്ങള് ഭക്ഷണത്തില് നിന്നാണ് ലഭിക്കുന്നത്. ഈ ഭക്ഷണങ്ങള് ന്ിങ്ങള് വായിലൂടെ കഴിക്കുന്നു. അത്തരം വായ വൃത്തികെട്ടതും അനാരോഗ്യകരവുമാണെങ്കില് ആരോഗ്യകരമായ ഭക്ഷണം കഴിക്കുന്നതില് ഒരു ഗുണവും ഉണ്ടാകില്ല.

ഇത്തരം കാര്യങ്ങള് വളരെയധികം ശ്രദ്ധിക്കേണ്ടതാണ്. അ്ലാത്ത പക്ഷം അത് കൂടുതല് അപകടത്തിലേക്ക് നിങ്ങളുടെ ശരീരത്തെ എത്തിക്കുന്നുണ്ട്. എന്നാല് വാക്കാലുള്ള ആരോഗ്യത്തിനായി സാധാരണയായി ദിവസത്തില് ഒന്നോ രണ്ടോ തവണ പല്ല് തേയ്ക്കും. അത്തരത്തില് പല്ല് തേയ്ക്കുമ്പോള് നമ്മളില് പലരും അറിയാതെ കുറച്ച് തെറ്റുകള് വരുത്തുന്നു. ഈ തെറ്റുകള് പല്ലിന്റെയും മോണയുടെയും ആരോഗ്യത്തെ ബാധിക്കുന്നു. അങ്ങനെ ഞങ്ങള് പ്രശ്നങ്ങളും നേരിടുന്നു. ഇതുപോലുള്ള നിരവധി തെറ്റുകള് ഞങ്ങള് നിങ്ങള് ചെയ്യുന്നുണ്ട്. ഇവ എന്തൊക്കെയെന്ന് നമുക്ക് നോക്കാവുന്നതാണ്.

പല്ലുകള് അമര്ത്തി തേക്കുക
പല്ലുകളിലെ അഴുക്ക് ഒഴിവാക്കാന് പലരും പല്ല് തേയ്ക്കും. എന്നാല് അങ്ങനെ അമര്ത്തി തടവുമ്പോള് ബ്രഷിലെ നാരുകള് വളച്ച് പല്ലില് കുടുങ്ങിയ അഴുക്ക് ശരിയായി നീക്കം ചെയ്യപ്പെടുന്നില്ല. ഇത് മോണയുടെ തകരാറിനും കാരണമാകും. അതിനാല് എല്ലായ്പ്പോഴും പല്ല് തേയ്ക്കുമ്പോള്, സോഫ്റ്റ് ആയ ബ്രഷ് തിരഞ്ഞെടുത്ത് ഉപയോഗിക്കാന് ശ്രദ്ധിക്കേണ്ടതാണ്. ഇത് കൂടാതെ പലരും മധുരപലഹാരങ്ങള് കൂടുതല് ഇഷ്ടപ്പെടുന്നവരായിരിക്കും. എന്നാല് അത് പല്ലിന് കൂടുതല് പ്രശ്നങ്ങള് ഉണ്ടാക്കുകയാണ് ചെയ്യുന്നത് എന്നുള്ളതാണ് സത്യം.

പല്ലുകളുടെ ആരോഗ്യത്തിന്
പല്ലുകള് ആരോഗ്യത്തോടെ ഇരിക്കുന്നതിന് വേണ്ടി കാല്സ്യം, ഫോസ്ഫറസ്, ഫ്ലൂറിന് എന്നിവ അടങ്ങിയ ഭക്ഷണങ്ങള് കഴിക്കേണ്ടതുണ്ട്. ആ ഭക്ഷണങ്ങള് ഇവയാണ്: കാല്സ്യം ഭക്ഷണങ്ങള്: പാലുല്പ്പന്നങ്ങള് പഴവും പച്ചക്കറി തൊലിയും മത്സ്യം ബീന്സ് എന്നിവയാണ്. എന്നാല് ഫോസ്ഫറസ് ഭക്ഷണങ്ങള് മത്സ്യം ചെറി പരിപ്പ് പയര്വര്ഗ്ഗങ്ങള് എന്നിവയാണ്. എന്നാല് ഫ്ളൂറിന് നമ്മുടെ വെള്ളത്തില് നിന്ന് ലഭിക്കുന്നുണ്ട്. എന്നിരുന്നാലും, നിങ്ങള് ഫ്ലൂറിന് കുറവുള്ള പ്രദേശത്താണ് താമസിക്കുന്നതെങ്കില്, പാല്, ഉപ്പ് എന്നിവ പോലുള്ള കൂടുതല് ഫ്ലൂറൈഡ് ഭക്ഷണങ്ങള് കഴിക്കണം.

മോണകള് വൃത്തിയാക്കണം
ഒരിക്കലും പല്ല് മാത്രം വൃത്തിയാക്കിയാല് അത് ആരോഗ്യത്തിന് സഹായിക്കുകയില്ല. പല്ലിനോടൊപ്പം തന്നെ മോണകളും വൃത്തിയാക്കാന് ശ്രദ്ധിക്കേണ്ടതാണ്. അതുകൊണ്ടാണ് പല്ലിന്റെ പോടുകളില് കുടുങ്ങിയ കണങ്ങളെ നീക്കം ചെയ്യാന് ഡെന്റല് ഫ്ലാഷ് ഉപയോഗിക്കുന്നത് ഉചിതം എന്ന് പറയുന്നത്. മോണകള് ദുര്ബലമാവുകയും ആവശ്യത്തിന് രക്തം ലഭിക്കാതിരിക്കുകയും ചെയ്താല് അത് പീരിയോണ്ഡൈറ്റിസ് എന്ന ജിംഗിവൈറ്റിസിന് കാരണമാകും. ഈ രോഗം മോണയില് വീക്കം ഉണ്ടാകുകയും രക്തസ്രാവത്തിന് കാരണമാവുകയും ചെയ്യുന്നു.

മോണകളുടെ ആരോഗ്യത്തിന്
അതിനാല് മോണകളെ ശക്തിപ്പെടുത്തുന്നതിന്, ടൂത്ത് ബ്രഷ് ഉപയോഗിച്ച് മോണയില് മസാജ് ചെയ്യുക. കൂടാതെ കട്ടിയുള്ള ഭക്ഷണങ്ങള് നന്നായി ചവച്ചരച്ച് വിഴുങ്ങണം. കൂടാതെ പല്ല് തേച്ച് ഉപ്പ് വെള്ളത്തില് വായ കഴുകുക. നിങ്ങളുടെ മോണയില് രക്തസ്രാവമുണ്ടെങ്കില്, നിങ്ങളുടെ ദന്തരോഗവിദഗ്ദ്ധനെ സമീപിച്ച് അവര് നിര്ദ്ദേശിക്കുന്ന മരുന്ന് ഉപയോഗിക്കേണ്ടതാണ്. ഇത്തരം കാര്യങ്ങള് അല്പം ശ്രദ്ധിക്കേണ്ടതാണ്. മോണകളുടെ ആരോഗ്യത്തിന് വേണ്ടി നമുക്ക് ആരോഗ്യം നല്കുന്ന ഭക്ഷണങ്ങളും കഴിക്കാന് ശ്രദ്ധിക്കാവുന്നതാണ്.

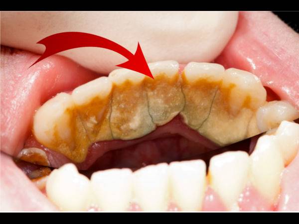
മഞ്ഞ കറ നീക്കം ചെയ്യുന്നതിന്
പല്ലിലെ മഞ്ഞ കറ നീക്കം ചെയ്യുന്നതില് പരാജയപ്പെടുന്നത് പലപ്പോഴും നാമെല്ലാവരും അനുഭവിച്ചിട്ടുള്ള ഒന്നാണ്. എന്നാല് പല്ലില് മഞ്ഞ നിറത്തിലുള്ള കറ ഉണ്ടാകുന്നത് ഭക്ഷണത്തില് നിന്നും ധാതുക്കളില് നിന്നും പല്ലിന് ചുറ്റുമുള്ള ഉമിനീരില് നിന്നാണ്. ഇത് പലപ്പോഴും പല്ലിന്റെ പിന്ഭാഗത്താണ് സംഭവിക്കുന്നത്. ഇതുപോലുള്ള മഞ്ഞ കറ ഒരു ടൂത്ത് ബ്രഷ് ഉപയോഗിച്ച് നീക്കംചെയ്യാന് കഴിയില്ല. ഈ മഞ്ഞ കറ പല്ലിന് ചുറ്റുമുള്ള അസ്ഥികളില് വീക്കം ഉണ്ടാക്കുന്നതിനൊപ്പം മോണരോഗത്തിനും കാരണമാകും. പ്രധാനമായും ഈ മഞ്ഞ കറകള് കഠിനമായതിനാല് പ്രത്യേക ഉപകരണങ്ങള് ഉപയോഗിച്ച് ദന്തഡോക്ടര്മാര്ക്ക് മാത്രമേ അവ നീക്കം ചെയ്യാന് കഴിയൂ. അതിനാല് വര്ഷത്തില് ഒരിക്കലെങ്കിലും ഒരു ദന്തരോഗവിദഗ്ദ്ധനെ സമീപിച്ച് പല്ല് വൃത്തിയാക്കാന് ശ്രദ്ധിക്കേണ്ടതാണ്. അങ്ങനെ പല്ലുകള് വളരെക്കാലം നല്ലതായി ഇരിക്കും.

ക്ലിപ്പ് ഇടുന്നത്
ചെറുപ്പത്തില് തന്നെ പല്ലുകള് നേരെയാക്കാന് ക്ലിപ്പ് ഇടണമെന്ന് മിക്കവരും കരുതുന്നു. എന്നാല് അത് തീര്ത്തും തെറ്റായ ഒരു കാര്യമാണ്. എ്ന്നാല് മനോഹരമായ മനോഹരമായ പുഞ്ചിരി നേടാന് ആഗ്രഹിക്കുന്നവര്ക്ക് ഏത് പ്രായത്തിലും പല്ലില് ഒരു ക്ലിപ്പ് ഇടാം. കൃത്യമായ നിരയൊത്ത പല്ലില്ലാത്ത ആളുകള്ക്ക് പലപ്പോഴും പല്ലുകള്ക്കും മോണകള്ക്കും പെട്ടെന്ന് കേടുപാടുകള് സംഭവിക്കും. ക്ലിപ്പ് ഇടാന് നിങ്ങള്ക്ക് ലജ്ജ തോന്നുന്നുവെങ്കില്, ക്ലിപ്പ് ദൃശ്യമാകാത്തവിധം പല്ലിന്റെ പിന്നില് ഇടാം. അതിനാല് ഇതിനെക്കുറിച്ച് ഡോക്ടറോട് ചോദിക്കാന് മടിക്കരുത്. നിങ്ങളുടെ പല്ലുകള് ആരോഗ്യകരവും മനോഹരവുമാകണമെങ്കില്, ഈ കാര്യം ചെയ്യുക.

ഭക്ഷണം കഴിക്കുമ്പോള്
ഒരു വശത്ത് ഭക്ഷണം ചവയ്ക്കുന്നതിന് വളരെയധികം ശ്രദ്ധിക്കേണ്ടതാണ്. അതിനാല് ഭക്ഷണം കഴിക്കുമ്പോള് നിങ്ങള് വായയുടെ ഒരു വശം മാത്രം ചവച്ചാല്, അത് നിങ്ങളില് പലപ്പോഴും പോടുകള് ഉണ്ടാവുന്ന അവസ്ഥയിലേക്ക് എത്തുന്നുണ്ട്. ഇത് കൂടാതെ വായയുടെ ഒരു വശത്ത് മാത്രം ചവയ്ക്കുമ്പോള് ആ ഭാഗത്തെ പേശികള് ശക്തമാവുകയും ഉപയോഗിക്കാത്ത ഭാഗത്തെ പേശികള് ദുര്ബലമാവുകയും ചെയ്യുന്നു. ക്രമേണ ഇത് വേദനയ്ക്കും ചെവി പ്രശ്നങ്ങള്ക്കും ഇടയാക്കും. അതിനാല് ഭക്ഷണം കഴിക്കുമ്പോള് ഇരുവശത്തും ഭക്ഷണം ചവയ്ക്കാന് ശ്രദ്ധിക്കണം. ഇത്തരം കാര്യങ്ങള് വളരെയധികം ശ്രദ്ധിക്കേണ്ടതാണ്. ഓരോ അവസ്ഥയിലും നിങ്ങള് ഇത്തരം വെല്ലുവിളികള് ശ്രദ്ധിക്കണം. പല്ലിന്റെ കാര്യത്തില് ഈ പ്രശ്നങ്ങള് എല്ലാം തന്നെ വളരെയധികം ശ്രദ്ധിക്കേണ്ടതാണ്.



Click it and Unblock the Notifications











