Latest Updates
-
കാത്തിരുന്ന നക്ഷത്രമാറ്റം: രാജകീയ ജീവിതം നല്കുന്ന കേതു, മകം നക്ഷത്രത്തിലേക്ക് പ്രൗഡിയോടെ ഇവര് -
ശകുനം പറയും കണ്ണ് തുടിക്കുന്നതും ഉള്ളം കൈ ചൊറിയുന്നതും എന്തിനാണെന്ന്: ഭാവിയില് ഇത് സംഭവിക്കാം -
ആരോഗ്യത്തിന്റെ കലവറ ആയുസ്സിന് മുതല്ക്കൂട്ട്: പക്ഷേ മാതള നാരങ്ങ ഇവര് കഴിക്കരുത്, കാരണം ഇതാ -
മാര്ച്ച് 11-ന് ശനി അസ്തമയം: വിഷുവിന് ശേഷമുള്ള ഒരാഴ്ച വരെ മാറ്റങ്ങള് അതിഗംഭീരം ഈ രാശിക്കാര്ക്ക് -
ശനിയുടെ നക്ഷത്രത്തിലേക്ക് ചൊവ്വ: ഉത്രട്ടാതി നാളില് സംഭവിക്കുന്ന മാറ്റം നിസ്സാരമല്ല, ഭാഗ്യം കടാക്ഷിക്കും രാശി -
Rashiphalam: ഇന്ന് നിങ്ങള്ക്ക് എങ്ങനെ, അറിയണം 12 രാശിക്കാര്ക്കും ഗുണങ്ങളും ദോഷങ്ങളും ഇപ്രകാരമെന്ന് -
നെല്ലിക്ക ജ്യൂസില് ഒരു നുള്ള് മഞ്ഞള്പ്പൊടിയിട്ട് രാവിലെ കുടിക്കാം : ഗുണങ്ങള് ഇതെല്ലാം -
ശുക്രാദിത്യ രാജയോഗം: സൂര്യശുക്രന്മാര് സംയോജിക്കുമ്പോള് അതിഗംഭീര അവസരങ്ങള്, 3 രാശിക്ക് വിധി മാറിമറിയും -
സമ്പൂര്ണ വാരഫലം: മാര്ച്ച് 9- 15 വരെ അശ്വതി - രേവതി നക്ഷത്രഫലം: നേടുന്നവരും നഷ്ടപ്പെടുന്നവരും ഇവരാണ് -
മാര്ച്ചില് സൂര്യന് മാറുന്നത് 4 തവണ: ധനസമ്പത്തിന് ഇനി മുട്ടില്ല, മാര്ച്ച് 31 വരെ ഇവര്ക്ക് സുവര്ണകാലം
ശരീരത്തിനുള്ളില് തന്നെ രൂപം കൊള്ളുന്ന അപകടകരമായ കല്ലുകള്
ഹെഡ്ഡിംഗ് കേള്ക്കുമ്പോള് തന്നെ അല്പം വിചിത്രമായി നിങ്ങള്ക്ക് തോന്നാം. എന്നാല് സത്യമാണ്. നാം അറിയാതെ തന്നെ നമ്മുടെ ശരീരത്തില് ചില കല്ലുകള് രൂപപ്പെടുന്നുണ്ട്. ഇത് പലപ്പോഴും പുറത്തേക്ക് വരുന്നത് വേദനാജനകമായ ആരോഗ്യ പ്രശ്നങ്ങളുടെ രൂപത്തിലാണ്. ഇത്തരം അവസ്ഥയില് നാം ശ്രദ്ധിക്കേണ്ടത് ഏതൊക്കെ തരത്തില് വേദനാജനകമായ രീതിയില് ഇത്തരം പ്രശ്നങ്ങള് ശരീരത്തിനകത്ത് ഉണ്ടാവുന്നു എന്നതാണ്. നമ്മുടെ ശരീരത്തിനകത്ത് രൂപപ്പെടുന്ന ഏഴ് തരത്തിലുള്ള കല്ലുകള് ഉണ്ടെന്ന് നിങ്ങള്ക്കറിയാമോ? എന്നാല് സത്യമാണ്. നിങ്ങളുടെ ശരീരത്തില് ഉണ്ടാവാന് സാധ്യതയുള്ള കല്ലുകള് ഏതൊക്കെയെന്ന് അറിയാന് ആഗ്രഹമുള്ളവര്ക്ക് ഈ ലേഖനം വായിക്കാം.

കാരണം ഈ കല്ലുകള് നിങ്ങള് നേരത്തെ തിരിച്ചറിഞ്ഞാല്, ഭാവിയില് വേദനാജനകമായ ചില ആരോഗ്യപ്രശ്നങ്ങളില് നിന്ന് നിങ്ങളെ സ്വയം സംരക്ഷിക്കാന് സാധിക്കുന്നുണ്ട്. പലപ്പോഴും ഭക്ഷണരീതിയിലും ജീവിത ശൈലിയിലും വരുന്ന മാറ്റങ്ങള് ഇത്തരം ഒരു അവസ്ഥയെ പ്രതിരോധിക്കാന് പ്രാപ്യമായതാണ് എന്നതാണ് സത്യം. കല്ലുകള് രൂപപ്പെട്ട് കഴിഞ്ഞാല് പിന്നീട് ഇത് ചെറിയ രീതിയിലുള്ള ആരോഗ്യ പ്രശ്നമായി മാറുന്നതിനുള്ള സാധ്യതയുണ്ട്. എന്നാല് കൃത്യസമയത്ത് ചികിത്സിച്ചില്ലെങ്കില്, ഈ പ്രശ്നങ്ങള് നിങ്ങളുടെ ആരോഗ്യത്തിന് ഗുരുതരമായ പ്രത്യാഘാതങ്ങള് ഉണ്ടാക്കും. കൂടുതല് അറിയാം.

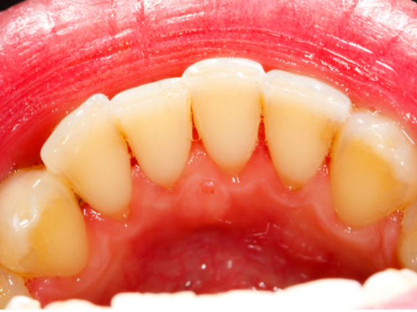
കാല്ക്കുലസ്
കാല്ക്കുലസിനെക്കുറിച്ച് പലര്ക്കും അറിയില്ല. എന്നാല് ഇത് മൂലം ഉണ്ടാവുന്ന വേദനയും വീക്കവും പലരു് അനുഭവിച്ചിട്ടുള്ളതായിരിക്കും. പല്ലിന് അടിഭാഗത്ത് പാറപോലെ കാണപ്പെടുന്ന നിറം മാറ്റം സംഭവിച്ച ഒരു അവസ്ഥയെയാണ് കാല്ക്കുലസ് എന്ന് പറയുന്നത്. ഇത് കൃത്യസമയത്ത് ചികിത്സിച്ചില്ലെങ്കില് അല്പം അപകടകരമായ അവസ്ഥയിലേക്ക് കാര്യങ്ങള് എത്തുന്നു. ഇതിനെ മലയാളത്തില് ദന്തഫലകം എന്നാണ് പറയുന്നത്. ഇത് നീക്കം ചെയ്യാതിരുന്നാല് പലപ്പോഴും അത് കാല്സിഫൈ ചെയ്യാന് തുടങ്ങുകയും പിന്നീട് ഗുരുതരമായ പ്രത്യാഘാതത്തിലേക്ക് നീങ്ങുകയും ചെയ്യുന്നു. ഭക്ഷണഅവശിഷ്ടങ്ങള്, മറ്റ് പ്രശ്നങ്ങള്, ഉമിനീര് വര്ദ്ധിക്കുന്നത് എല്ലാം ഇത്തരം പ്രശ്നങ്ങള് വര്ദ്ധിപ്പിക്കുന്നു. ഇതിന് പരിഹാരം കാണാതെ മുന്നോട്ട് പോയാല് പിന്നീട് ഇത് വീക്കത്തിലേക്കും ആ വീക്കം മോണയിലേക്കും പല്ലുകള് ക്ഷയിക്കുന്ന അവസ്ഥയിലേക്കും എത്തിച്ചേക്കാം.

കിഡ്നി സ്റ്റോണ്
ഈ ലേഖനത്തില് ശരീരത്തിനകത്തെ കല്ലുകള് എന്ന് പറയുമ്പോള് പലര്ക്കും ആദ്യം ഓര്മ്മ വന്നത് കിഡ്നി സ്റ്റോണ് ആയിരിക്കും. രക്തത്തിലെ മാലിന്യങ്ങള് നീക്കം ചെയ്യുകയും മൂത്രത്തിന്റെ രൂപത്തിലേക്ക് എത്തിക്കുകയും ഫില്റ്റര് ആയി പ്രവര്ത്തിക്കുകയും ചെയ്യുന്നതാണ് കിഡ്നി. പലപ്പോഴും വൃക്കയില് മാലിന്യങ്ങള് അടിഞ്ഞ് കൂടാന് തുടങ്ങിയാല് അത് പലപ്പോഴും ക്രിസ്റ്റല് രൂപത്തിലായി മാറുന്നു. ഇങ്ങനെയാണ് വൃക്കയില് കല്ലുകള് ഉണ്ടാവുന്നത്. ഇതിന്റെ രോഗ ലക്ഷണങ്ങള് തുടക്കത്തില് തിരിച്ചറിയണം എന്നില്ല. അത് പലപ്പോഴും വേദനാജനകമായി മാറുമ്പോഴാണ് പലരും ശ്രദ്ധിക്കുന്നത്. ഇത് വര്ഷങ്ങളോളം പുറത്തറിയാതെ പോവുന്നു. പിന്നീട് ഇത് മൂത്രനാളത്തെ തടയുന്ന അവസ്ഥയിലേക്ക് എത്തുകയും മൂത്രമൊഴിക്കുമ്പോള് അതി കഠിനമായ വേദന അനുഭവപ്പെടുകയും ചെയ്യുമ്പോഴാണ് പലരും ശ്രദ്ധിക്കുന്നത്. ഇതിന്റെ ഫലമായി ഓക്കാനം, രക്തനഷ്ടം, മൂത്രത്തിന്റെ ദുര്ഗന്ധം എന്നിവയും ഉണ്ടാവുന്നു. എന്നാല് ധാരാളം വെള്ളം കുടിക്കുന്നതിന് ശ്രദ്ധിക്കുക എന്നതാണ് ഇതില് ആദ്യം ശ്രദ്ധിക്കേണ്ട കാര്യം.

മൂത്രാശയ കല്ലുകള്
മൂത്രാശയത്തില് മുറിവുകളോ മറ്റ് പ്രശ്നങ്ങളോ ഉള്ള ആളുകള്ക്ക് മൂത്രാശയ കല്ലുകള് അനുഭവപ്പെടാം. മൂത്രമൊഴിച്ചതിന് ശേഷം വീണ്ടും മൂത്രസഞ്ചിയില് മൂത്രം നില്ക്കുമ്പോഴാണ് ഇത്തരം കല്ലുകള് ഉണ്ടാവുന്നത്. ഇത് മൂത്രസഞ്ചിയിലേക്ക് നീങ്ങിയ വൃക്കയിലെ കല്ല് ആവുന്നതിനുള്ള സാധ്യതയും വളരെ കൂടുതലാണ്. മൂത്രമൊഴിക്കുമ്പോള് വേദനയും കത്തുന്നതുപോലുള്ള അവസ്ഥയും ഉണ്ടാവുന്നു. ഇതാണഅ മൂത്രാശയ കല്ലുകളുടെ പ്രധാന ലക്ഷണങ്ങളില് ഒന്ന്. ഈ അവസ്ഥയില് കല്ലുകള് നീക്കം ചെയ്യുന്നതിന് അമാന്തം കാണിക്കേണ്ടതില്ല. അല്ലാത്ത പക്ഷം അത് പല വിധത്തിലുള്ള അണുബാധയിലേക്ക് നിങ്ങളെ എത്തിക്കുന്നു.

ടോണ്സില് കല്ലുകള്
ടോണ്സിലൈറ്റിസ് എന്ന അവസ്ഥയെക്കുറിച്ച് നാം പലപ്പോഴും കേട്ടിട്ടുണ്ട്. ഒരു തുള്ളി വെള്ളം പോലും കുടിക്കാനാവാതെ അപകടകരമായ വേദനയോടെയാണ് ഇതുണ്ടാവുന്നത്. എന്നാല് ടോണ്സില് കല്ലുകള് അല്പം ശ്രദ്ധിക്കണം. ഇത് ബാക്ടീരിയ, മൃതകോശങ്ങള്, ഭക്ഷണ അവശിഷ്ടങ്ങള് എന്നിവയില് നിന്നാണ് വികസിക്കുന്നത്. പലപ്പോഴും ടോണ്സിലിന്റെ എല്ലാ ഭാഗത്തും ഇവ ഉണ്ടാവുന്നു. അതിന്റെ ഫലമായി കല്ലുകള് രൂപപ്പെടുന്നു. എന്നാല് ഇത് ആദ്യ ഘട്ടത്തില് പ്രശ്നങ്ങളൊന്നും ഉണ്ടാക്കുന്നില്ല. പക്ഷേ പിന്നീട് നിങ്ങള് ഭക്ഷണം കഴിക്കുമ്പോഴോ വിഴുങ്ങുമ്പോഴോ നിങ്ങള്ക്ക് ഹാലിറ്റോസിസ് അല്ലെങ്കില് വേദന അനുഭവപ്പെടുന്നതിനുള്ള സാധ്യതയുണ്ട്. ഇതിന് പരിഹാരം കാണുന്നതിന് വേണ്ടി ദിനവും പല്ല് തേക്കുക വൃത്തിയായി വായ കഴുകുക, അല്ലെങ്കില് ഉപ്പുവെള്ളം ഉപയോഗിച്ച് കഴുകുക എന്നിവയിലൂടെ ഇവയെ പ്രതിരോധിക്കാം.

പിത്താശയക്കല്ലുകള്
പിത്താശയക്കല്ലുകള് നിങ്ങള്ക്ക് ഇതുപോലുള്ള പ്രശ്നങ്ങള് ഉണ്ടാക്കുന്നതാണ്. ഇത് കൂടുതല് ബാധിക്കുന്നത് നിങ്ങളുടെ ദഹനത്തെയാണ്. പലപ്പോഴും ഭക്ഷണം കൃത്യമായി ദഹിക്കാതെ വരുമ്പോള് അവ പലപ്പോഴും പിത്തസഞ്ചിയിലെ കല്ലുകളായി മാറുന്നു. ഇവ പിത്തസഞ്ചിയിലോ അന്നനാളത്തിലോ തടസ്സങ്ങള് സൃഷ്ടിക്കുന്നത് വരെ ഇത്തരം ഒരു രോഗം ഉണ്ടെന്ന് നിങ്ങള്ക്ക് മനസ്സിലാക്കാന് സാധിക്കുകയില്ല. അതുകൊണ്ട് തന്നെ രോഗലക്ഷണങ്ങള് നിര്ണ്ണയിക്കാന് പലപ്പോഴും ബുദ്ധിമുട്ടാണ്. രോഗം ഗുരുതരമായിട്ടുള്ളവരില് ഭക്ഷണം കഴിച്ചതിന് ശേഷം ഓക്കാനവും അസ്വസ്ഥതയും അനുഭവപ്പെടാം. ഇത്തരം അവസ്ഥകള് വിട്ടുമാറാതെ നിന്നാല് ഡോക്ടറെ കാണുന്നതിന് ശ്രദ്ധിക്കണം. കൃത്യമായ ചികിത്സ ഉറപ്പാക്കിയില്ലെങ്കില് ഇവ പിന്നീട് മഞ്ഞപ്പിത്തത്തിലേക്കോ പാന്ക്രിയാറ്റിസിലേക്കോ എത്തുന്നതിനുള്ള സാധ്യതയും തള്ളിക്കളയാന് സാധിക്കില്ല. അമിതവണ്ണമുള്ളവരില് പിത്താശയക്കല്ലുകള് ഉണ്ടാകാനുള്ള സാധ്യത വളരെ കൂടുതലാണ്. അതുകൊണ്ട് തന്നെ ശ്രദ്ധിക്കണം.

ഉമിനീര് കല്ലുകള്
ഇത് അധികം കേട്ടുകേള്വി ഇല്ലാത്ത ഒന്നാണ്. എന്നാല് നമ്മുടെ ഉമിനീര് മൂന്ന് വ്യത്യസ്ത ഗ്രന്ഥികളാണ് ഉത്പാദിപ്പിക്കുന്നത്. ചെറിയ ട്യൂബുകളിലൂടെ, ഉമിനീര് ആ ഗ്രന്ഥികളില് നിന്ന് നിങ്ങളുടെ വായിലേക്ക് എത്തുന്നു. ഈ സമയം ഇത്തരം ട്യൂബുകള് അടഞ്ഞുപോയാല്, ഉമിനീര് കല്ലുകള് ഉണ്ടാകുന്നതിന് സാധ്യതയുണ്ട്. പലപ്പോഴും ഈ ഉമിനീരില് കാല്സ്യം അടങ്ങിയിട്ടുണ്ട്. ഇത് നിങ്ങളുടെ ചെവിയിലും താഴത്തെ താടിയെല്ലിലും വേദനയും വീക്കവും ഉണ്ടാക്കുന്നതാണ് പലപ്പോഴും ഇത്തരം കല്ലുകള് ഉണ്ട് എന്നതിന്റെ ലക്ഷണങ്ങള്. നിങ്ങള് ഭക്ഷണം കഴിക്കാന് തുടങ്ങുമ്പോള്, വേദന വര്ദ്ധിക്കുന്നുവെങ്കില് ഡോക്ടറെ കാണുന്നതിന് മടി കാണിക്കേണ്ടതില്ല.

ബെസോര് കല്ലുകള്
പലപ്പോഴും നമുക്ക് പരിചയമില്ലാത്ത ഒന്നാണ് ബെസോര് കല്ലുകള്. രോമങ്ങള്, ഭക്ഷണ അവശിഷ്ടങ്ങള്, കുട്ടികളുടെ ഭക്ഷണം, ചെറിയ കല്ലുകള് വിഴുങ്ങുക തുടങ്ങിയ അവസ്ഥയില് മോശമായി ദഹിക്കാതെ കിടക്കുന്ന പദാര്ത്ഥങ്ങളുടെ ഫലമായി ഉണ്ടാവുന്നതാണ് ബസോര് കല്ലുകള്. എന്നാല് ഇത് സാധാരണയായി വളരെ ചെറുതാണ്. അതുകൊണ്ട് തന്നെ നിങ്ങള്ക്ക് യാതൊരു വിധത്തിലുള്ള ആരോഗ്യ പ്രശ്നങ്ങളും ഉണ്ടാവുന്നില്ല. എങ്കിലും അല്പം ശ്രദ്ധിക്കേണ്ടതാണ്. കാരണം ഇതിന്റെ ഫലമായി നിങ്ങളില് വയറ്റില് അസ്വസ്ഥത, സംവേദനം, ഓക്കാനം, ഭക്ഷണം വിഴുങ്ങുന്നതിലെ ബുദ്ധിമുട്ട് എന്നിവയുണ്ടാവുന്നു. ഈ അവസ്ഥകള് അല്പം ശ്രദ്ധിക്കണം. ഭക്ഷണം കുറച്ച് കഴിക്കുമ്പോള് തന്നെ വയറു നിറഞ്ഞതുപോലെ തോന്നുക, തുടങ്ങിയ അവസ്ഥകള് എല്ലാം അല്പം ശ്രദ്ധിക്കണം. ഇത്തരം പ്രതിസന്ധികള് വര്ദ്ധിക്കുമ്പോള് ഡോക്ടറെ കാണുന്നതിന് ശ്രദ്ധിക്കണം.



Click it and Unblock the Notifications











