Latest Updates
-
വനിതാദിനം 2026: ഏത് പ്രായത്തിലും മാനസികാരോഗ്യം അതിപ്രധാനം, പ്രത്യേകിച്ച് ഗര്ഭകാലത്തും പ്രസവശേഷവും -
48 മണിക്കൂറിനുള്ളില് ബുധന് ചയതത്തിലേക്ക്: കരിയര്, ധനം, ജോലി, ദാമ്പത്യം അത്ഭുതപ്പെടും മാറ്റങ്ങളില് ഇവര് -
Rashiphalam: മാറ്റങ്ങള്ക്ക് തുടര്ച്ചയായി ഇന്നത്തെ രാശിഫലം: 12 രാശിക്കാര്ക്കും സമ്പൂര്ണം സമഗ്രം -
വനിതാദിനം 2026: പോരാട്ടങ്ങളുടെ വര്ഷങ്ങള്, തുല്യതക്ക് വേണ്ടിയുള്ള പോരാട്ടം, ചര്ച്ച ചെയ്യപ്പെടേണ്ടത് ഇതെല്ലാം -
40 ദിനത്തോളം ശനി അസ്തമയത്തില്: മാര്ച്ച് 13 മുതല് മീനം രാശിയിലേക്ക്, അതിഗംഭീര മാറ്റങ്ങള് നല്കുന്ന 3 രാശി -
വനിതാ ദിനം 2026: നിസ്സാരമല്ല സ്ത്രീകളുടെ ആരോഗ്യം പ്രത്യേകിച്ച് 30-കളില് ഈ പരിശോധനകള് നിര്ബന്ധം -
വനിതാദിനം 2026: പ്രിയപ്പെട്ടവരെ അഭിനന്ദിക്കാം, ആശംസകള് അറിയിക്കാം: വനിതാദിനാശംസകള് -
കാത്തിരിക്കുന്നത് മികച്ച അവസരങ്ങള്, മാര്ച്ച് രണ്ടാംവാരത്തില് ഇവര് മുന്പില് സമ്പൂര്ണ വാരഫലം 12 രാശിക്കും -
'സ്ത്രീഹൃദയ'ത്തെ നിസാരമായിക്കാണരുത്: സ്ത്രീകളിലെ ഹൃദ്രോഗം, ലക്ഷണം, കാരണം, പരിഹാരം -
മേടം, മിഥുനം ഉള്പ്പടെ മാര്ച്ച് രണ്ടാം വാരത്തിലെ ഭാഗ്യ രാശിക്കാര്: കരിയര്, ധനം, ജോലി എല്ലാം ഭാഗ്യക്കൊടുമുടി
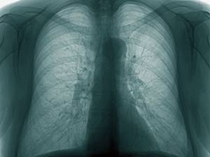
മൂത്രപരിശോധനയിലൂടെ ക്ഷയം കണ്ടെത്താം

ഇതിനേക്കാള് എത്രയോ ചെലവുകുറഞ്ഞതും വേഗതയേറിയതുമായ രീതിയായിരിക്കും മൂത്രപരിശോധന. ഇതു സംബന്ധിച്ച റിപ്പോര്ട്ട് അമേരിക്കന് കെമിക്കല് സൊസൈറ്റി ജേര്ണലില് പ്രസിദ്ധീകരിച്ചു കഴിഞ്ഞു.
വൊളട്ടയില് ഓര്ഗാനിക് കോംപൗണ്ടുകള് ക്ഷയരോഗികളിലും ആരോഗ്യമുള്ള ഒരാളിലും വ്യത്യാസപ്പെട്ടിരിക്കും. ഈ കോംപൗണ്ടുകളുടെ സാന്നിധ്യം തിരിച്ചറിയാന് ഒരു ഇലക്ട്രോണിക് ഉപകരണം വികസിപ്പിച്ചെടുത്താല് മാത്രം. സെക്കന്റുകള്ക്കുള്ളില് ഒരാള്ക്ക് രോഗമുണ്ടോ ഇല്ലയോ എന്നു വ്യക്തമാവും-പരീക്ഷണങ്ങള്ക്ക് നേതൃത്വം നല്കുന്ന വീരേന്ദര് സിങ് ചൗഹാനും രഞ്ജന് കുമാര് നന്ദയും അറിയിച്ചു.
Disclaimer: ഈ ലേഖനത്തില് പരാമര്ശിച്ചിരിക്കുന്ന വിവരങ്ങള് പൊതുവായ വിവരങ്ങള്ക്കും വിദ്യാഭ്യാസപരമായ ആവശ്യങ്ങള്ക്കും വേണ്ടി മാത്രമുള്ളതാണ്. പ്രൊഫഷണല് അഭിപ്രായങ്ങളോ, രോഗനിര്ണയം, ചികിത്സ എന്നിവ ഉദ്ദേശിച്ചുള്ളതോ അല്ല. ആരോഗ്യ സംബന്ധമായ പ്രശ്നങ്ങള്ക്ക് എപ്പോഴും ഡോക്ടറേയോ ആരോഗ്യവിദഗ്ധരേയോ സമീപിക്കേണ്ടതാണ്.



Click it and Unblock the Notifications











