Latest Updates
-
മീനത്തില് ഭാഗ്യം തെളിയുന്നവര്: ഇനി അടുത്ത 30 നാള് ഈ നക്ഷത്രക്കാര്ക്കുള്ളത്, ധനവും, കരിയറും സുരക്ഷിതം -
ഭക്ഷണത്തില് ഉപ്പ് കൂടുതലോ? അറിയണം കിഡ്നിയെ ബാധിക്കുന്നതെങ്ങനെയെന്ന് -
30 വര്ഷത്തിനിപ്പുറം ശനിയും ചൊവ്വയും ചേരുന്നു: ശത്രു മുട്ടുമടക്കും, ധനം നിറഞ്ഞ് കുമിയും, ഭാഗ്യം ഏത് കോണിലും -
തടി കുറയ്ക്കാന് രാവിലെ ഈ ശീലങ്ങള് മാത്രം മതി: മറക്കാതെ ചെയ്യണം ഇതെല്ലാം -
കരള് എന്നെന്നും സുരക്ഷിതമായിരിക്കുന്നതിനും വിഷമുക്തമാക്കുന്നതിനും കഴിക്കണം ഈ ഭക്ഷണങ്ങള് -
മീനം 1 പുലരുന്നത് തന്നെ രാജയോഗത്തോടെ: അശ്വതി - രേവതി വരെ 27 നാളിനും മീനമാസം സമ്പൂര്ണ നാള്ഫലം -
5 ദിനങ്ങള്ക്കുള്ളില് സൂര്യനെത്തുന്നു മീനത്തില്: പക്ഷേ ഈ രാശിക്കാര് അല്പം കരുതിയിരിക്കണം, നിര്ണായകം -
Rashiphalam: ഇന്ന് ഭാഗ്യയോഗങ്ങളില് മാറ്റങ്ങള് തേടി എത്തുന്ന രാശിക്കാര്: സമ്പൂര്ണഫലം ഇപ്രകാരം -
വ്യാഴം മിഥുനത്തില് നേര്ഗതിയില്: ഈ രാശിക്കാര് മാര്ച്ച് 11 മുതല് കരുതിയിരിക്കണം -
സ്ഥിരമായി ബീറ്റ്റൂട്ട് ജ്യൂസ് കുടിക്കുന്നോ? എങ്കില് ഇക്കാര്യങ്ങള് പരിഗണിക്കണം
ന്യൂമോണിയ അറിയേണ്ട കാര്യങ്ങള്
ശ്വാസകോശത്തില് രോഗാണുക്കള് പെരുകി ശ്വസനേന്ദ്രിയത്തില് വീക്കവും പഴുപ്പും ഉണ്ടാകുന്ന അവസ്ഥയാണ് ന്യൂമോണിയ. ലോകത്ത് ഒട്ടേറെ കുഞ്ഞുങ്ങള് ന്യൂമോണിയ പിടിപ്പെട്ട് മരണപ്പെടുന്നുണ്ട്. അതുകൊണ്ടുതന്നെ ഈ രോഗത്തെ ഭയപ്പെടേണ്ടതാണ്. തുടക്കത്തിലേ ശ്രദ്ധിച്ചാല് ന്യൂമോണിയയില് നിന്ന് രക്ഷനേടാം.
എത്രകാലം ഫ്രിഡ്ജില് സൂക്ഷിക്കാം..
മലര്ന്നുകിടക്കുമ്പോള് കുട്ടിയുടെ വയറ് വികസിക്കുകയും സങ്കോചിക്കുകയും ചെയ്യുന്നത് ശ്രദ്ധിക്കുക. രണ്ടു മാസത്തില് താഴെ പ്രായമുള്ള കുട്ടി 60 തവണയില് കൂടുതല് ശ്വസിക്കുന്നുണ്ടെങ്കില് ന്യൂമോണിയ ഉണ്ടെന്ന് കരുതണം. മാതാപിതാക്കള്ക്ക് ആസ്തമ രോഗമുണ്ടെങ്കില് കുട്ടികളില് രോഗം വരാനുള്ള സാധ്യത കൂടുതലാണ്. ഇങ്ങനെ ന്യൂമോണിയയെക്കുറിച്ച് നിങ്ങള് അറിഞ്ഞിരിക്കേമ്ട ചില കാര്യങ്ങളാണ് ഇവിടെ പറയുന്നത്.

കാരണങ്ങള്
ബാക്ടീരിയ, വൈറസുകള്, പൂപ്പലുകള് എന്നിങ്ങനെ പലതരം അണുക്കളാണ് പ്രധാനമായും ന്യൂമോണിയയ്ക്ക് കാരണമാകുന്നത്.

സാധ്യതകള്
മാതാപിതാക്കള്ക്ക് ആസ്തമ രോഗമുണ്ടെങ്കില് കുട്ടികളില് രോഗം വരാനുള്ള സാധ്യത കൂടുതലാണ്.

ശ്വാസകോശം
ശ്വാസകോശങ്ങളുടെ പ്രവര്ത്തനക്ഷമത കുറയുന്നതും മറ്റൊരു കാരണമാണ്.

വൈകല്യങ്ങള്
ശ്വാസപഥങ്ങളില് ജന്മനായുണ്ടാകുന്ന വൈകല്യങ്ങള്, ജന്മനായുണ്ടാകുന്ന ഹൃദ്രോഗങ്ങള്, അപൂര്വമായ ജനിതക രോഗങ്ങള്, ശ്വാസനാളങ്ങളില് അന്യവസ്തുക്കള് കുടുങ്ങിക്കിടക്കുന്നതുകൊണ്ടുണ്ടാകുന്ന തടസ്സം എന്നിവയും തുടരെത്തുടരെയുണ്ടാകുന്ന കഫക്കെട്ടും കാരണമാകാം.

കഫക്കെട്ട്
ചെറിയ കുട്ടികള് പാലു കുടിച്ചുകഴിഞ്ഞാല് അല്പം പാല് തികട്ടിക്കളയുന്നതു കാണാറില്ലേ..ചിലപ്പോള് തികട്ടിവരുന്ന പാലിന്റെ അളവ് കൂടുതലാകാം. ഇങ്ങനെ വരുന്ന പാല് ശ്വാസകോശത്തില് കയറി കഫക്കെട്ടിന് കാരണമാകാം.

ലക്ഷണങ്ങള്
ചുമ, കഫക്കെട്ട്, നെഞ്ചില് പഴുപ്പ്, പനി, ശ്വാസം മുട്ടല്, നെഞ്ചുവേദന എന്നിവയാണ് ന്യൂമോണിയയുടെ മുഖ്യലക്ഷണങ്ങള്.

തിരിച്ചറിയുന്നത്
കുട്ടികളില് ഇത്തരം ലക്ഷണങ്ങള് കണ്ടെന്ന് വരില്ല. അതുകൊണ്ടുതന്നെ ശ്വാസോച്ഛാസത്തിന്റെ വേഗമാണ് ശ്രദ്ധിക്കേണ്ടത്. കുട്ടി ഒരു മിനുട്ടില് എത്ര തവണ ശ്വാസം കഴിക്കുന്നുണ്ടെന്ന് അറിയണം.

തിരിച്ചറിയുന്നത്
മലര്ന്നുകിടക്കുമ്പോള് കുട്ടിയുടെ വയറ് വികസിക്കുകയും സങ്കോചിക്കുകയും ചെയ്യുന്നത് ശ്രദ്ധിക്കുക. രണ്ടു മാസത്തില് താഴെ പ്രായമുള്ള കുട്ടി 60 തവണയില് കൂടുതല് ശ്വസിക്കുന്നുണ്ടെങ്കില് ന്യൂമോണിയ ഉണ്ടെന്ന് കരുതണം.

തിരിച്ചറിയുന്നത്
രണ്ടു മുതല് 12 മാസം വരെ പ്രായമുള്ള കുട്ടികള് 50ല് കൂടുതലും, ഒന്നു മുതല് അഞ്ചു വയസ്സുവരെ പ്രായമുള്ളവര് 40ല് കൂടുതലും തവണ ശ്വസിക്കുന്നുണ്ടെങ്കില് ന്യൂമോണിയ ഉണ്ടെന്ന് തിരിച്ചറിയാം.

ചികത്സകള്
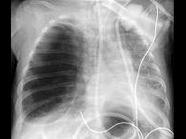
എക്സ്റേയാണ് രോഗം കണ്ടുപിടിക്കാനുള്ള എളുപ്പമാര്ഗം. രക്തപരിശോധനയും നടത്താറുണ്ട്.

ചികിത്സകള്
അണുബാധയെ നിയന്ത്രിക്കാന് സഹായിക്കുന്ന ആന്റിബയോട്ടിക്കുകളും ന്യൂമോണിയ ചികിത്സിക്കാന് ഉപയോഗിക്കുന്നുണ്ട്.



Click it and Unblock the Notifications











