Latest Updates
-
Rashiphalam: ഇന്ന് ഭാഗ്യയോഗങ്ങളില് മാറ്റങ്ങള് തേടി എത്തുന്ന രാശിക്കാര്: സമ്പൂര്ണഫലം ഇപ്രകാരം -
വ്യാഴം മിഥുനത്തില് നേര്ഗതിയില്: ഈ രാശിക്കാര് മാര്ച്ച് 11 മുതല് കരുതിയിരിക്കണം -
സ്ഥിരമായി ബീറ്റ്റൂട്ട് ജ്യൂസ് കുടിക്കുന്നോ? എങ്കില് ഇക്കാര്യങ്ങള് പരിഗണിക്കണം -
കാത്തിരുന്ന നക്ഷത്രമാറ്റം: രാജകീയ ജീവിതം നല്കുന്ന കേതു, മകം നക്ഷത്രത്തിലേക്ക് പ്രൗഡിയോടെ ഇവര് -
ശകുനം പറയും കണ്ണ് തുടിക്കുന്നതും ഉള്ളം കൈ ചൊറിയുന്നതും എന്തിനാണെന്ന്: ഭാവിയില് ഇത് സംഭവിക്കാം -
ആരോഗ്യത്തിന്റെ കലവറ ആയുസ്സിന് മുതല്ക്കൂട്ട്: പക്ഷേ മാതള നാരങ്ങ ഇവര് കഴിക്കരുത്, കാരണം ഇതാ -
മാര്ച്ച് 11-ന് ശനി അസ്തമയം: വിഷുവിന് ശേഷമുള്ള ഒരാഴ്ച വരെ മാറ്റങ്ങള് അതിഗംഭീരം ഈ രാശിക്കാര്ക്ക് -
ശനിയുടെ നക്ഷത്രത്തിലേക്ക് ചൊവ്വ: ഉത്രട്ടാതി നാളില് സംഭവിക്കുന്ന മാറ്റം നിസ്സാരമല്ല, ഭാഗ്യം കടാക്ഷിക്കും രാശി -
Rashiphalam: ഇന്ന് നിങ്ങള്ക്ക് എങ്ങനെ, അറിയണം 12 രാശിക്കാര്ക്കും ഗുണങ്ങളും ദോഷങ്ങളും ഇപ്രകാരമെന്ന് -
നെല്ലിക്ക ജ്യൂസില് ഒരു നുള്ള് മഞ്ഞള്പ്പൊടിയിട്ട് രാവിലെ കുടിക്കാം : ഗുണങ്ങള് ഇതെല്ലാം
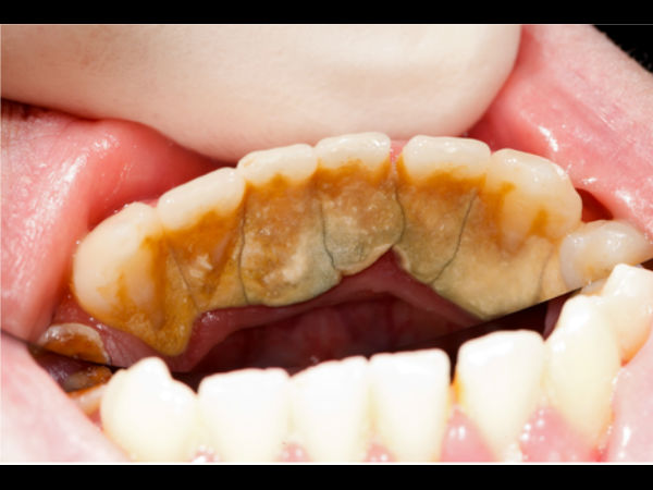
പല്ലിലെ ഈ അഴുക്കിന്റെ കാരണവും പെട്ടെന്ന് പരിഹാരം
പല്ലിലെ കറയും അഴുക്കും നിങ്ങളുടെ ആത്മവിശ്വാസത്തെ വളരെയധികം പിന്നിലേക്കാക്കുന്നുണ്ട്. എന്നാൽ ഈ അവസ്ഥക്ക് പരിഹാരം കാണുന്നതിന് വേണ്ടി നമുക്ക് ചില കാര്യങ്ങൾ ശ്രദ്ധിക്കാവുന്നതാണ്. ആത്മവിശ്വാസക്കുറവിന് പലപ്പോഴും പല്ലിൽ അടിഞ്ഞ് കൂടുന്ന പ്ലേക്ക് അഥവാ കറയാണ്. ഇതിനെ എങ്ങനെ ഫലപ്രദമായി ഇല്ലാതാക്കാം എന്നുള്ളത് വളരെയധികം ശ്രദ്ധേയമായ ഒന്ന് തന്നെയാണ്.
ഇനി നിങ്ങളുടെ നല്ല പുഞ്ചിരിക്കായി നമുക്ക് ചില കാര്യങ്ങൾ അറിഞ്ഞിരിക്കേണ്ടത് അത്യാവശ്യമാണ്. ആദ്യം ഒരു പല്ലിൽ ഉണ്ടാവുന്ന കറ പിന്നീട് മറ്റ് പല്ലുകളിലേക്ക് വ്യാപിക്കുന്ന അവസ്ഥയാണ് ഉണ്ടാവുന്നത്. അതുകൊണ്ട് ഇതിന് പരിഹാരം കാണുന്നതിന് വേണ്ടിയാണ് നമ്മൾ ശ്രദ്ധിക്കേണ്ടത്.
താഴ്ഭാഗത്തെ പല്ലിലാണ് ഇത്തരം പ്രതിസന്ധികൾ വർദ്ധിക്കുന്നത്. എന്നാൽ ശ്രദ്ധിച്ചില്ലെങ്കില് അത് മുകള് ഭാഗത്തെ പല്ലിലേക്കും പകരുന്നതിനുള്ള സാധ്യത വളരെ കൂടുതലാണ്. പല്ലിലെ ഈ കറയെ പൂർണമായും ഇല്ലാതാക്കുന്നതിന് വേണ്ടി ശ്രദ്ധിക്കേണ്ട ചില കാര്യങ്ങൾ ഉണ്ട്. അവ എന്തൊക്കെയെന്ന് നോക്കാം. അതിന് മുൻപ് എന്താണ് പല്ലിലെ കറക്ക് കാരണം, എന്താണ് അതിനുള്ള പ്രതിരോധം, പരിഹാരം എന്നിവയാണ് ശ്രദ്ധിക്കേണ്ടത്. പല്ലിലെ കറ ഇല്ലാതാക്കുന്നതിന് വേണ്ടി ദന്ത ഡോക്ടറെ കാണുന്നവരാണ് പലരും. എന്നാൽ ഇനി വീട്ടിൽ ഇരുന്ന് തന്നെ ഇത്തരം അവസ്ഥകൾക്ക് പരിഹാരം കാണാം. കൂടുതൽ അറിയുന്നതിന് വേണ്ടി വായിക്കൂ.

എന്തുകൊണ്ട് പല്ലിൽ കറയുണ്ടാവുന്നു
പല്ലിലെ കറക്ക് പ്രധാന കാരണം പലപ്പോഴും നമ്മൾ കഴിക്കുന്ന ഭക്ഷണങ്ങൾ തന്നെയായിരിക്കും. കാർബോഹൈഡ്രേറ്റ് (പഞ്ചസാര, അന്നജം) അടങ്ങിയ ഭക്ഷണങ്ങളായ പാൽ, ശീതളപാനീയങ്ങൾ, ഉണക്കമുന്തിരി, ദോശ, മിഠായി എന്നിവയെല്ലാം കഴിച്ച ശേഷം വായ് വൃത്തിയാക്കിയില്ലെങ്കിൽ അത് പല്ലിൽ പ്ലേഖ് അടിഞ്ഞ് കൂടുന്നതിന് കാരണമാകുന്നുണ്ട്. പലപ്പോഴും വായിൽ ഉണ്ടാവുന്ന ബാക്ടീരിയകൾ ഈ ഭക്ഷണങ്ങാവശിഷ്ടങ്ങളിൽ പ്രവർത്തിക്കുകയും അതിന്റെ ഫലമായി ആസിഡുകൾ ഉത്പാദിപ്പിക്കുകയും ചെയ്യുന്നു. ഇത് വേഗം വൃത്തിയാക്കിയില്ലെങ്കിൽ പലപ്പോഴും ഒരു നിശ്ചിത കാലയളവിന് ശേഷം ഈ ആസിഡുകൾ പല്ലിന്റെ ഇനാമലിനെ നശിപ്പിക്കുകയും പല്ലുകൾ നശിക്കുകയും ചെയ്യുന്നു. താഴ് വരിയിലെ പല്ലുകളിലും വേരുകളിലും ഇത് പ്രശ്നങ്ങൾ ഉണ്ടാക്കുന്നുണ്ട്. ഇത് പലപ്പോഴും മറ്റുള്ള പല്ലിലേക്ക് വ്യാപിക്കുന്നതിന് കാരണമാകുകയും ചെയ്യുന്നുണ്ട്.

എങ്ങനെ പ്രതിരോധിക്കാം?
എങ്ങനെ ഇത്തരം കറയെ പ്രതിരോധിക്കാം എന്നുള്ളത് ശ്രദ്ധിക്കേണ്ടതാണ്. അതിന് വേണ്ടി മൃദുവായതും വൃത്താകൃതിയിലുള്ളതുമായ ടിപ്പ് ബ്രിസ്റ്റഡ് ടൂത്ത് ബ്രഷ് ഉപയോഗിച്ച് ദിവസത്തിൽ രണ്ടുതവണയെങ്കിലും പല്ല് തേക്കുക. മോണകളും പല്ലുകളും കൂടിച്ചേരുന്ന സ്ഥലത്ത് പ്രത്യേക ശ്രദ്ധ നൽകുക. ഫ്ലൂറൈഡ് അടങ്ങിയ ടൂത്ത് പേസ്റ്റ് ഉപയോഗിക്കുക. ഇവ എന്നും ചെയ്യുന്നുണ്ടെന്ന് ഉറപ്പ് വരുത്തേണ്ടതാണ്.

എങ്ങനെ പ്രതിരോധിക്കാം?
ഭക്ഷണ കണികകളെയും ബാക്ടീരിയകളെയും നീക്കം ചെയ്യുന്നതിനായി ദിവസത്തിൽ ഒരു തവണയെങ്കിലും പല്ലുകൾക്കിടയിൽ ഫ്ലോസ് ഉപയോഗിച്ച് വൃത്തിയാക്കുന്നതിന് ശ്രദ്ധിക്കേണ്ടതാണ്. ഫലകത്തിനും മോണരോഗത്തിനും കാരണമാകുന്ന ബാക്ടീരിയകൾ കുറയ്ക്കുന്നതിന് വേണ്ടി ആന്റി ബാക്ടീരിയൽ മൗത്ത് വാഷ് ഉപയോഗിച്ച് വായ് കഴുകുന്നതിന് ശ്രദ്ധിക്കേണ്ടതാണ്. ഇത് കൂടാതെ പരിശോധനയ്ക്കും പല്ലുകൾ വൃത്തിയാക്കുന്നതിനും ഓരോ 6 മാസത്തിലും നിങ്ങളുടെ ദന്തരോഗവിദഗ്ധനെ കാണുന്നതിന് ശ്രദ്ധിക്കാവുന്നതാണ്.

എങ്ങനെ പ്രതിരോധിക്കാം?
സമീകൃതാഹാരം കഴിക്കുകയും ഭക്ഷണത്തിനിടയിലുള്ള ലഘുഭക്ഷണങ്ങളുടെ എണ്ണം കുറക്കുകയും ചെയ്യുന്നുണ്ട്. നിങ്ങൾക്ക് ലഘുഭക്ഷണം ആവശ്യമുണ്ടെങ്കിൽ, പ്ലെയിൻ തൈര്, ചീസ്, പഴം അല്ലെങ്കിൽ അസംസ്കൃത പച്ചക്കറികൾ പോലുള്ള പോഷകാഹാരങ്ങൾ തിരഞ്ഞെടുക്കുക. സെലറി പോലുള്ള പച്ചക്കറികൾ ഭക്ഷണം നീക്കംചെയ്യാനും ഉമിനീർ വർദ്ധിപ്പിക്കുന്നതിനും സഹായിക്കുന്നുണ്ട്. വായിൽ ഉമിനീർ വർദ്ധിക്കുന്നത് വായുടെ ആരോഗ്യത്തിനും ദന്ത സംരക്ഷണത്തിനും വളരെയധികം സഹായിക്കുന്നുണ്ട്.

വീട്ടു പരിഹാരങ്ങൾ
എന്നാൽ ഇതെല്ലാം ചെയ്താലും മറ്റ് ചില കാര്യങ്ങൾ കൂടി ശ്രദ്ധിക്കേണ്ടതുണ്ട്. ഇത്തരം കാര്യങ്ങൾ അൽപം ശ്രദ്ധിക്കേണ്ടതാണ്. വീട്ടില് തന്നെ ചെയ്യുന്ന പല കാര്യങ്ങളും നിങ്ങളില് നിന്ന് ഈ പ്രതിസന്ധിയെ പൂർണമായും ഇല്ലാതാക്കുന്നതിനും സഹായിക്കുന്നുണ്ട്. എന്തൊക്കെയാണ് ഇത്തരത്തിൽ നിങ്ങൾക്ക് വീട്ടില് തന്നെ ചെയ്യാവുന്ന കാര്യങ്ങൾ എന്ന് നോക്കാവുന്നതാണ്. ഇത് എല്ലാ വിധത്തിലും നിങ്ങളുടെ ആരോഗ്യ സംരക്ഷണത്തിനും സഹായിക്കുന്നുണ്ട്.

ഉമിക്കരി
ഉമിക്കരി കൊണ്ട് നമുക്ക് ഈ പ്രതിസന്ധിയെ പൂർണമായും ഇല്ലാതാക്കാൻ സാധിക്കുന്നുണ്ട്. പേസ്റ്റിന് മുൻപ് പലരും ഉപയോഗിച്ച് പരിചയിച്ച ഒന്നാണ് ഉമിക്കരി. എന്നാൽ ഇന്ന് ഉമിക്കരി പലർക്കും അറിയുകയില്ല. എന്നാൽ ഇനി ഇത്തരത്തിലുള്ള അസ്വസ്ഥതകൾക്ക് പരിഹാരം കാണുന്നതിന് വേണ്ടി രണ്ടു നേരവും നിങ്ങൾ ഉമിക്കരി ഇട്ട് പല്ല് തേക്കാവുന്നതാണ്. ഇത് നിങ്ങളുടെ പല്ലിലെ കറയെ പൂർണമായും ഇല്ലാതാക്കുന്നതിന് സഹായിക്കുന്നുണ്ട്. വെറും ചുരുങ്ങിയ സമയം കൊണ്ട് തന്നെ നമുക്ക് ഈ പ്രതിസന്ധിക്ക് പരിഹാരം കാണുന്നതിന് സഹായിക്കുന്നുണ്ട്.

വാകയില
വാകയില കൊണ്ട് നമുക്ക് ഈ പ്രശ്നത്തിന് പരിഹാരം കാണാവുന്നതാണ്. ഇത് നിങ്ങളുടെ പല്ലിലെ കറയെ ഇല്ലാതാക്കുന്നതിന് വേണ്ടി വളരെയധികം സഹായിക്കുന്നുണ്ട്. ഇത് കൊണ്ട് പല്ല് തേച്ചാൽ പല്ലിൽ അടിഞ്ഞ് കൂടിയിട്ടുള്ള പ്ലേഖിനെ പൂർണമായും ഇല്ലാതാക്കുന്നതിന് സഹായിക്കുന്നുണ്ട്. പല്ലിന് നല്ല കരുത്തും നൽകുന്നുണ്ട്. ഇത്തരം അവസ്ഥകളെ പരിഹരിക്കുന്നതിന് വേണ്ടി നമുക്ക് എല്ലാ ദിവസവും ഈ വാകയില കൊണ്ട് പല്ല് തേക്കാവുന്നതാണ്.

വെളിച്ചെണ്ണ
വെളിച്ചെണ്ണ കൊണ്ട് നമുക്ക് ഈ കറയെ പൂർണമായും ഇല്ലാതാക്കുന്നതിന് സഹായിക്കുന്നുണ്ട്. എല്ലാ ദിവസവും വെളിച്ചെണ്ണ കൊണ്ട് ബ്രഷ് ചെയ്യുന്നതിലൂടെ അത് നിങ്ങളുടെ ആരോഗ്യത്തിന് വളരെയധികം സഹായിക്കുന്നുണ്ട്. വെളിച്ചെണ്ണ ദിവസവും കവിൾ കൊള്ളുന്നതിലൂടെ അത് നിങ്ങളുടെ പല്ലിലെ അഴുക്കിനെ പൂർണമായും ഇല്ലാതാക്കുന്നതിന് സഹായിക്കുന്നുണ്ട്. വെറും ചുരുങ്ങിയ ദിവസങ്ങൾ കൊണ്ട് തന്നെ നമുക്ക് ഈ പ്രതിസന്ധിയെ പരിഹരിക്കാൻ സാധിക്കുന്നുണ്ട്.

പേരക്ക
പേരക്ക ആരോഗ്യത്തിന്റെ കലവറയാണ്. എന്നാൽ ഇത് ദന്ത സംരക്ഷണത്തിനും വളരെയധികം സഹായിക്കുന്നുണ്ട്. പേരക്ക കഴിക്കാന് ഇഷ്ടമില്ലാത്തവര് ചുരുക്കമായിരിക്കും. എന്നാല് പേരക്ക കൊണ്ട് പല്ലിലെ കറയെ നമുക്ക് മാറ്റിയെടുക്കാം. പേരക്കയുടെ ഇലകള് കൊണ്ട് പല്ല് തേക്കാം. അല്ലെങ്കില് പേരക്ക കഴിക്കാം. ഇത് പല തരത്തില് നിങ്ങളുടെ പല്ലിലെ കറയെ പെട്ടെന്ന് തന്നെ ഇല്ലാതാക്കാവുന്ന ഒന്നാണ്. പെട്ടെന്നാണ് ഇത് നിങ്ങൾക്ക് പരിഹാരം നൽകുന്നത്.

ഓറഞ്ചിന്റെ തൊലി
ഓറഞ്ചിന്റെ തൊലിയും ഇത്തരത്തില് പല്ലിലെ കറയെ ഇല്ലാതാക്കുന്നതിന് വളരെയധികം സഹായിക്കുന്ന ഒന്നാണ്. ഓറഞ്ചിന്റെ തൊലി എടുത്ത് അത് കൊണ്ട് പല്ലില് നല്ലതു പോലെ ഉരക്കുക. ദിവസവും രാവിലെ ഇത് കൊണ്ട് പല്ല് തേക്കാവുന്നതാണ്. ഇത് രാവിലേയും രാത്രിയും പല്ല് തേക്കുന്നതിലൂടെ അത് നിങ്ങളുടെ ആരോഗ്യ സംരക്ഷണത്തിനും പല്ലിലെ ആരോഗ്യത്തിനും സഹായിക്കുന്നുണ്ട്. ദിവസവും ഇതെല്ലാം ശീലമാക്കിയാൽ ഏത് ഇളകാത്ത കറയും ഇളകും എന്ന കാര്യത്തിൽ സംശയം വേണ്ട.



Click it and Unblock the Notifications











